|
|
CASO
44 (Octubre 2009)
Datos clínicos
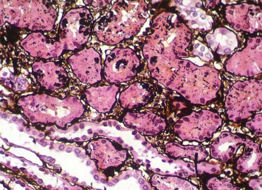
Hombre de 26 años de edad, raza negra. Es evaluado en hospital por cuadro clínico de aproximadamente 2 semanas de evolución, consistente en malestar general y adinamia, sin fiebre, Presentó varios episodios diarreicos y dolor abdominal. Oliguria. Al ingreso presión arterial 120/70, FC: 84, FR: 18, pálidez generalizada, levemente ictérico en conjuntivas. No otras alteraciones.
En paraclínicos Hb: 7,8%, Hto.: 23%, plaquetas: 75.000, leucocitos normales. Pruebas de coagulación normales. ANAs: 1:80, Anti-DNA negativo. Complemento sérico normal. Creatinina sérica: 7,8 mg/dL, BUN: 118 mg/dL. Proteinuria 100 mg/dL, eritrocitos: 3 por campo de gran aumento.
Inicialmente se piensa en síndrome hemolítico urémico / púrpura trombocitopénica trombótica; sin embargo luego se descarta este diagnóstico presuntivo. Se documenta anemia hemolítica
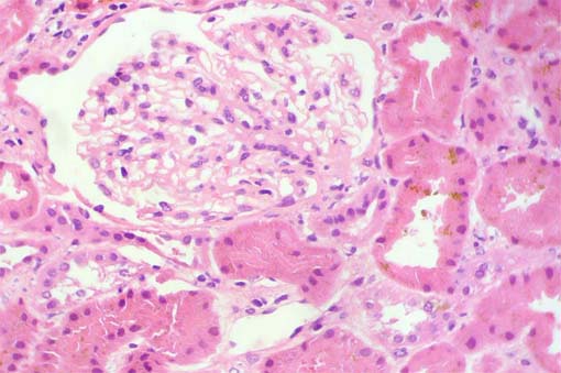
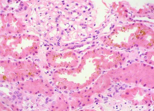
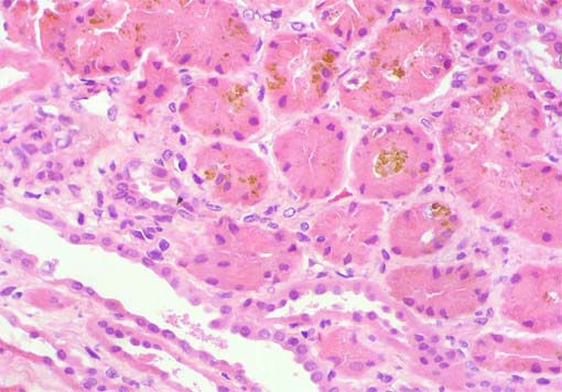
Se hace biopsia renal. Observe
las imágenes.

Figura 1.
H&E, X400.

Figura 2.
Tricrómico de Masson, X400.

Figura 3.
H&E, X400.

Figura 4.
H&E, X400.

Figura 5.
H&E, X400.

Figura 6.
Plata-metenamina, X400.

Figura 7.
Plata-metenamina, X400.

Figura 8.
PAS, X400.
Inmunofluorescencia directa para IgA,
IgG, IgM, C3, C1q, cadenas ligeras Kappa y lambda, y fibrinógeno:
Negativa.
¿Cuál es su diagnóstico?
¿Qué otras tinciones o técnicas pediría?
Ver
diagnóstico y discusión
[Arriba] |
|