|
|
CASO
34 (Diciembre 2008)
Datos clínicos
Mujer de 18 años de edad. Poliartralgias,
anemia hemolítica, leucopenia, derrame pleural bilateral, de un
mes de evolución. ANAs: 1:640 patrón homogéneo, anti-DNA
nativo: 1:320; C3: 28 mg/dL (90-180), C4: 4,4 mg/dL (10-40). Anticuerpos
anti-SM y anti-RNP en rangos normales.
Creatinina sérica: 0,7 mg/dL,
BUN: 15,0 mg/dL. Proteinuria 1,17 g/24h, sin hematuria ni cilindros, no
hay sedimento activo.
Con diagnóstico de LES se hace
biopsia renal para determinar compromiso por la enfermedad. Observe
las imágenes.

Figura 1.
H&E, X200.

Figura 2.
H&E, X400.

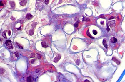
Figura 3.
PAS, X400.

Figura 4.
Plata-metenamina, X400.

Figura 5.
Tricrómico de Masson, X400.

Figura 6.
Tricrómico de Masson, X1.000.

Figura 7.
Inmunofluorescencia directa para IgG, X400.

Figura 8.
Inmunofluorescencia directa para C3, X400.
La inmunofluorescencia para IgA, IgM
y C1q muestra depósitos similares a los de las imágnes mostradas
para IgG y C3.
¿Cuál es su diagnóstico?
Ver
diagnóstico y discusión
[Arriba]
|
|