CASO
31 (Septiembre 2008)
Datos clínicos
Mujer de 34 años de edad. Diagnóstico
de infección por HIV a los 24 años. Durante su primera gestación,
a los 33 años, se diagnostica síndrome nefrótico
a las 26 semanas de gestación. Proteinuria hasta 6,2 g/24h, en
orina 5 eritrocitos por campo de gran aumento; creatinina 0,9 mg/dL (3
meses post-parto). HTA leve. Continúa con manejo sintomático.
Su gestación termina sin complicaciones maternas o fetales.
Tres meses después de finalizar
el embarazo continúa el síndrome nefrótico, con función
renal normal. Complemento normal; ANAs, ANCAs, Anti-DNA: negativos. Pruebas
para hepatitis B y C: negativas. No hay hallazgos de SIDA. Conteo de linfocitos
superior a 1.000. No hay informe de otras pruebas de laboratorio en su
historia clínica.
Se hace biopsia renal; observe las imágenes.

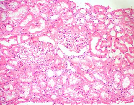
Figura 1.
H&E, X100.

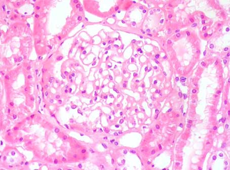
Figura 2.
H&E, X400.

Figura 3.
Tricrómico de Masson, X400.

Figura 4.
Plata-metenamina, X400.

Figura 5.
PAS, X400.

Figura 6.
Inmunofluorescencia directa para IgA, X400.

Figura 7.
Inmunofluorescencia directa para IgG, X400.

Figura 8.
Inmunofluorescencia directa para IgM, X400.

Figura 9.
Inmunofluorescencia directa para C3, X400.

Figura 10.
Inmunofluorescencia directa para C1q, X400.
¿Cuál es su diagnóstico?
Ver
diagnóstico y discusión
[Arriba]
|