CASO
29 (Julio 2008)
Datos clínicos
Mujer de 30 años de edad, con
antecedente de insuficiencia renal terminal por glomeruloesclerosis focal
y segmentaria. Ingresa a hemodiálisis y luego de 3 meses en lista
de espera, es trasplantada de un donante cadavérico de 20 años
de edad, muerto por trauma encefalocraneano. El donante estuvo en UCI
durante tres días antes del diagnóstico de la muerte cerebral.
Función renal del donante normal hasta 6 horas antes de la extracción
de los riñones, cuando su creatinina sérica fue de 2 mg/dL;
dicho donante no presentaba antecedentes personales conocidos. Tiempo
de isquemia fría: 16 horas.
La creatinina de la paciente descendió
de 10,2 mg/dl pretrasplante hasta 7,2 mg/dl a las 48 horas post-trasplante.
Diuresis de 1.200 cc las primeras 24 horas. La creatinina sérica
permanece sin descenso al tercer día. No hay alteraciones sistémicas.
Eco doopler sin hallazgos que sugieran
obstrucción de arterias renales; buen flujo; aumento de la resistencia
intrarrenal. Por ultrasonido no hay dilatación de cavidades. No
hay obstrucción de vías urinarias.
Con el diagnóstico
de retraso en el inicio de la función se hace biopsia percutánea.
Observe las imágenes de la biopsia
renal.

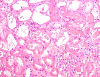
Figura 1.
H&E, X200.

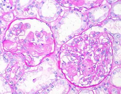
Figura 2.
H&E, X400.

Figura 3.
H&E, X400.

Figura 4.
PAS, X400.

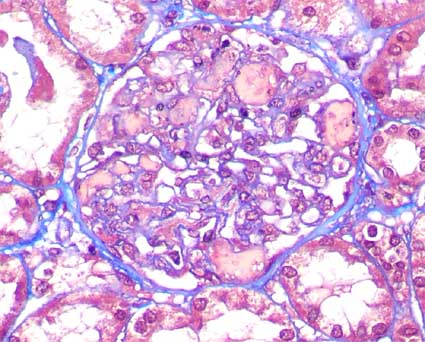
Figura 5.
Tricrómico de Masson, X400.

Figura 6.
Plata-metenamina, X400.

Figura 7.
Inmunofluorescencia directa para IgM (izquierda) y para
C3 (derecha). Ambas fueron negativas en intesrsticio,
basales tubulares y capilares peritubulares, X400.
Inmunofluorescencia directa para IgA
e IgG: negativas. Hay positividad débil para C1q en similar disposición
que para C3 e IgM.
Inmunohistoquímica para C4d: Negativa.
¿Cuál es su diagnóstico?
Ver
diagnóstico y discusión
[Arriba]
|