CASO
28 (Junio 2008)
Datos clínicos
Mujer de 13 años de edad, sin
antecedentes personales patológicos, es evaluada en nuestro centro
por edema facial y de miembros inferiores, de 18 días de evolución.
En la revisión por sistemas no se encuentran otras alteraciones.
Orina espumosa, sin hematuria macroscópica. No relata fiebre. Antecedente
de cuadro clínico compatible con amigdalofaringitis aproximadamente
10 días antes del inicio del edema. No hay antecedentes familiares
de enfermedades renales primarias.
Al examen físico: PA: 130/80,
FC: 84 X', temperatura: 37 ºC, edema facial y en ambas piernas. No
otras alteraciones.
Laboratorio: Hb: 11,7 mg%, Hto: 37%;
creatinina sérica: 1,9 mg/dL, BUN: 39 mg/dL. ANAs, ANCAs, Anti-DNA:
negativos. Pruebas para virus hepáticos y HIV: negativas. C3: 69
mg/dL (90-180); C4: 8 mg/dL (10-40). Proteínas totales en suero:
5,2 g/dL (5,5-8,0); albúmina sérica 3,3 g/dL (3,5-5,5).
Electroforesis de proteínas: normal. Uroanálisis: proteinuria:
4,0 g/24h, eritrocitos: 50 x CGA, cilíndros hemáticos, leucocitarios
y granulosos.
La paciente presenta durante la hospitalización
malestar general, fiebre y tos. Se detecta derrame pleural derecho y sígnos
de consolidación neumónica en este mismo lado.
¿Cuál es su diagnóstico
clínico?
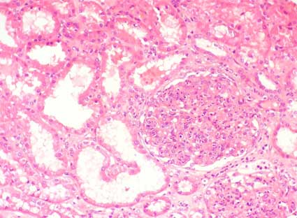
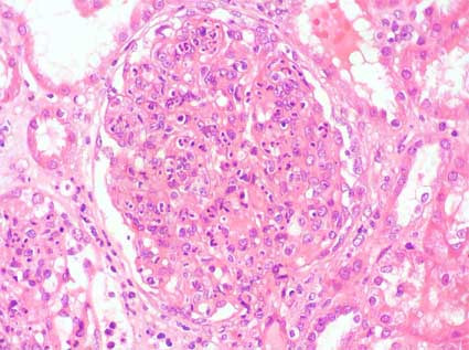
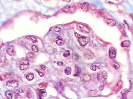
Observe las imágenes de la biopsia
renal.

Figura 1.
H&E, X200.

Figura 2.
H&E, X400.

Figura 3.
Plata-metenamina, X400.

Figura 4.
Tricrómico de Masson, X1.000.

Figura 5.
Tricrómico de Masson, X1.000.

Figura 6.
Inmunofluorescencia directa para IgG, X400.

Figura 7.
Inmunofluorescencia directa para C3, X400.

Figura 8.
Inmunofluorescencia directa para C1q, X400.
Inmunofluorescencia directa para IgA:
trazas parietales.
Inmunofluorescencia directa para IgM: Negativa.
¿Cuál es su diagnóstico?
Ver
diagnóstico y discusión
[Arriba]
|