CASO
27 (Mayo 2008)
Datos clínicos
Hombre de 68 años, raza negra.
Antecedente de malaria por P. falciparum tres meses antes. Consulta por
malestar general, edemas y adinamia. No fiebre. Relata marcada disminución
del volumen urinario. No otros síntomas. PA: 150/90, pulso 84 X',
rítmico. Edema en miembros inferiores. No lesiones en piel. No
alteraciones respiratorias.
No AP de diabetes, HTA crónica
tratada con captopril, no otros antecedentes patológicos. No relata
antecedentes familiares.
Paraclínicos: Hb: 10,4, Hto: 31%,
leucocitos: 8.200/mL, plaquetas 270.000/ul. Creatinina sérica:
inicialmente 14,0 mg/dL, luego de varios días de hospitalización
disminuye a 2,2 mg/dL. Proteinuria: 19,39 g/día, eritrocitos en
orina: 40 x campo de gran aumento, glucosuria, proteina de Bence-Jones
positiva; cilíndros granulosos en orina. No pico monoclonal en
electroforesis de proteínas en suero. No hipercolesterolemia. Proteínas
en sangre: 5,7 g/L (6,4 - 8,2), albúmina 2,94 g/L (3,9 - 4,6).
ANAs negativo; ANCAs: negativo; VDRL: no reactivo; complemento normal.
Eco renal: Diferenciación corticomedular
disminuida, riñones levemente aumentados de tamaño.
¿Cuál es su diagnóstico
clínico?
Observe las imágenes de la biopsia
renal.

Figura 1.
Hipercelularidad endocapilar sólo en algunos glomérulos
(focal) y sólo en algunos segmentos de los glomérulos comprometidos
(segmentaria). H&E, X400.

Figura 2.
Luces capilares preservadas en algunos segmentos y poco evidentes en otros.
Plata-metenamina, X400.

Figura 3.
Corte periférico de un glomérulo en el que se ven conservadas
las luces capilares. Hay hipertrofia de podocitos. Tricrómico de
Masson, X400.

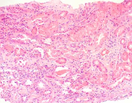
Figura 4.
Fibrosis intersticial. Algunos túbulos con aplanamiento del epitelio
y descamación celular. H&E, X100.

Figura 5.
Inmunofluorescencia directa para IgA. Observe gránulos
positivos en el citoplasma de podocitos. Penacho glomerular negativo,
X400.

Figura 6.
Inmunofluorescencia directa para IgM. Positividad segmentaria
en algunos glomérulos, X400.

Figura 7.
Inmunofluorescencia directa para C3. Positividad segmentaria
en algunos glomérulos, X400.
Inmunofluorescencia directa para IgG
y C1q: Negativas.
¿Cuál es su diagnóstico?
Ver
diagnóstico y discusión
[Arriba]
|