|
|
CASO
219 (mayo de 2024)
Datos clínicos:
Un hombre de 40 años presentó falla hepática aguda severa secundaria a infección por virus de la hepatitis A, y lesión renal aguda.
Pruebas de laboratorio más relevantes: trombocitopenia (76.000), hiperbilirrubinemia (7,1 mg/dL), transaminitis (1.830 U/L and 2.320 U/L) y elevación del INR. Creatinina sérica: 5,2 mg/dL, BUN: 78 mg/dL, proteinuria: 100 mg/dL, sin microhematuria.
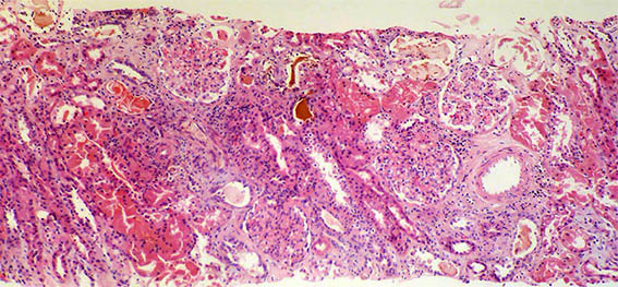
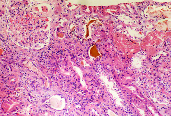
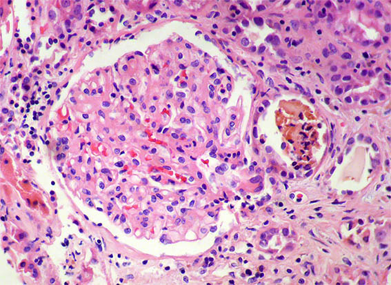
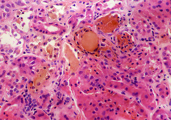
Se hace biopsia renal. Observe las imágenes.

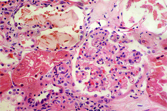
Figura 1. H&E, X100.

Figura 2. H&E, X200.

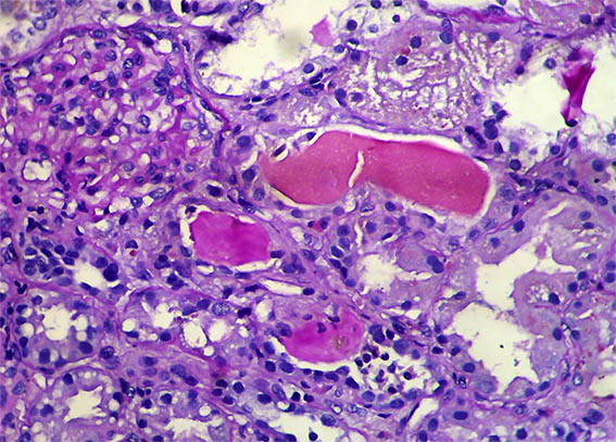
Figura 3.
H&E, X200.

Figura 4. H&E, X400.

Figura 5. H&E, X400.

Figura 6. H&E, X400.

Figura 7. H&E, X400.

Figura 8. H&E, X400.

Figura 9. PAS, X400.

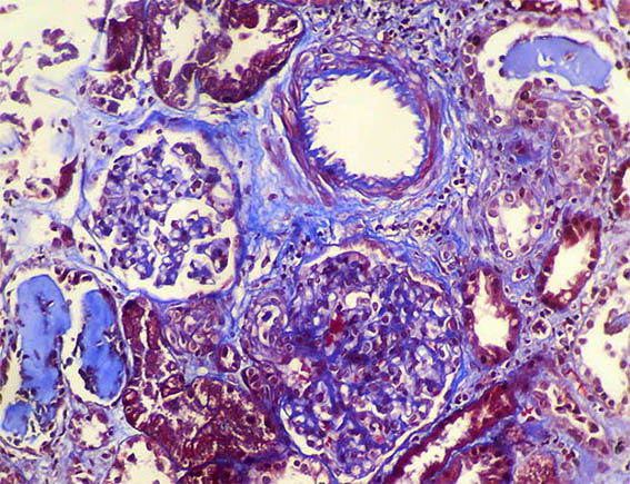
Figura 10. Tricrómico de Masson, X200.

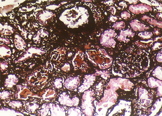
Figura 11. Plata-metenamina, X200.

Figura 12. Tinción de Fontana-Masson, X200.
Inmunofluorescencia directa para IgA, IgG, IgM, C3, C1q, kappa y lambda: Negativas. Tinción de hierro: negativa.
¿Cuál es su diagnóstico?
Ver
diagnóstico y discusión
[Arriba]
|
|