|
|
CASO
217 (marzo de 2024)
Datos clínicos:
Un hombre de 36 años de edad con antecedente de cirugía abdominal con extensa resección de intestino delgado por herida por proyectil de arma de fuego un año antes, es evaluado por edemas y malestar general. En paraclínicos Hto 36%, Hb 12,5 mg/dL, leucograma y plaquetas normales, creatinina sérica 4,9 mg/dL, BUN 62 mg/dL, uroanálisis con proteinuria 30 mg/dL, sedimento sin hematuria, leucocituria, cilindros ni cristales reportados. Ecografía renal con aumento de la ecogenicidad, con relación corticomedular conservada, sin hidronefrosis, calcificaciones o cálculos.
No hay en el interrogatorio y la evaluación clínica y paraclínica hallazgos que permitan dterminar la etiología de la falla renal.
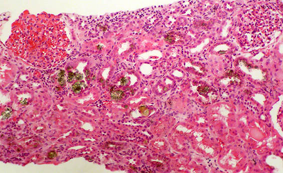
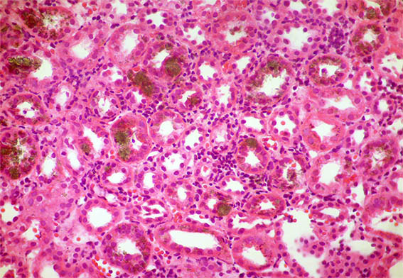
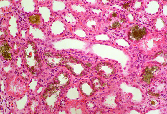
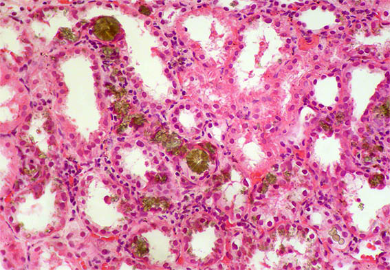
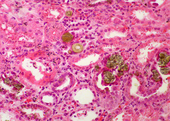
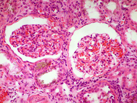
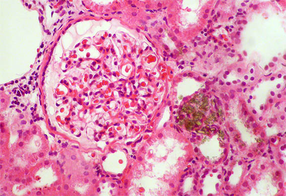
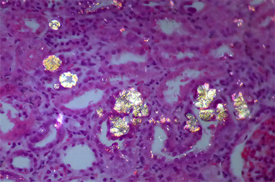
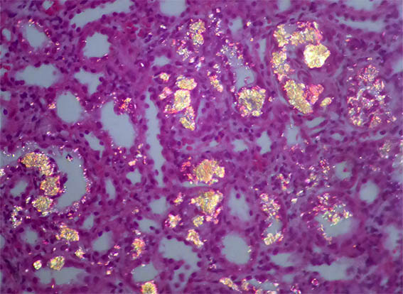
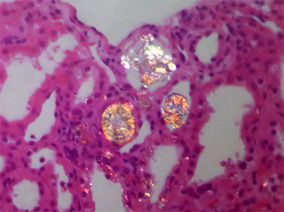
Con diagnóstico de lesión renal aguda de origen desconocido se hace biopsia renal. Observe las imágenes.

Figura 1. H&E, X100.

Figura 2. H&E, X200.

Figura 3.
H&E, X400.

Figura 4. H&E, X400.

Figura 5. H&E, X400.

Figura 6. H&E, X400.

Figura 7. H&E, X400.

Figura 8. H&E, luz polarizada, X200.

Figura 9. H&E, luz polarizada, X200.

Figura 10. H&E, luz polarizada, X200.

Figura 11. H&E, luz polarizada, X400.
¿Cuál es su diagnóstico?
Ver
diagnóstico y discusión
[Arriba]
|
|