CASO
215 (enero de 2024)
Datos clínicos:
Un hombre de 61 años con antecedente de hipertensión arterial diagnosticada 5 años antes presenta edemas de un mes de evolución. Se documenta síndrome nefrótico, con proteinuria en 24 horas de 6,7 g, hipoalbuminemia y dislipidemia. No hay otros antecedentes personales patológicos. Fumador de un paquete de cigarrillos al día, licor ocasional. No tiene antecedente de diabetes.
Paraclínicos con hemoleucograma normal. Creatinina sérica: 1,3 mg/dL, BUN: 18 mg/dL. Virus hepatotropos y VIH negativos. Hemoglobina glicosilada (HbA1c): 5,5%. Estudios de autoinmunidad negativos o normales; electroforesis de proteínas sin pico monoclonal.
Se hace biopsia renal. Observe las imágenes.

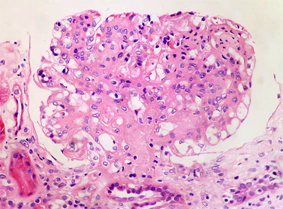
Figura 1. H&E, X100.

Figura 2. H&E, X400. Marcada hipercelularidad mesangial y glomerulomegalia.

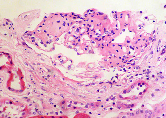
Figura 3.
H&E, X400. Lobulación.

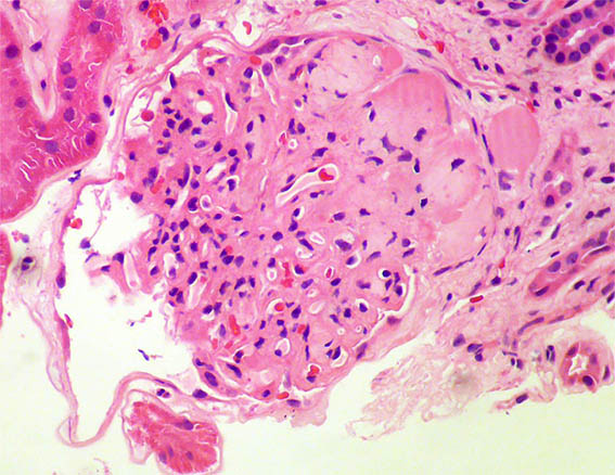
Figura 4. H&E, X400. Nódulos que sugieren Kimmestiel-Wilson.

Figura 5. H&E, X400.

Figura 6. H&E, X400.

Figura 7. PAS, X400.

Figura 8. PAS, X400. Gota capsular (flecha).

Figura 9. Tricrómico de Masson, X400. Otra gota capsular (flecha).

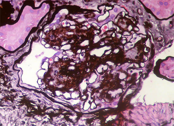
Figura 10. Plata-metenamina, X400.

Figura 11. Inmunofluorescencia directa para IgG, X400. Positividad lineal (o "pseudolineal") en basales glomerulares y tubulares.

Figura 12. Microscopía electrónica, aumento original X4.000. Engrosamiento difuso de la MBG.

Figura 13. Microscopía electrónica, aumento original X4.000. Daño podocitario extenso.

Figura 14. Microscopía electrónica, aumento original X4.000.

Figura 15. Microscopía electrónica, aumento original X4.000.
La inmunofluorescencia para cadenas ligeras kappa y lambda fue similar que para IgG. Atrapamiento segmentario inespecífico de IgM y C3 en lesiones hialinas y esclerosantes. IgA y C1q: negativas. Tinción de rojo Congo: negativa para amiloide. No se identificaron en la ME depósitos organizados o depósitos fibrilares o tubulares.
¿Cuál es su diagnóstico?
Ver
diagnóstico y discusión
[Arriba]
|