|
|
CASO
214 (diciembre de 2023)
Datos clínicos:
Un niño de 2 años de edad es evaluado porque su madre le ve y palpa abombamiento en el hemiabdomen izquierdo. Por ecografía se demuestra una masa renal multiquítica que reemplaza aproximadamente el 80% del riñón izquierdo. En el riñón derecho no hay alteraciones. No se detectan otras lesiones en otros órganos. El niño presenta crecimiento y desarrollo normal. No hay pérdida de peso y la lesión es asintomática.
Se hace nefrectomía. Observe las imágenes.

Figura 1. Aspecto externo del riñón, previamente abierto.

Figura 2. Masa multiquística bien delimitada, sólo se identifica una porción remanente de parénquima renal en el polo inferior.

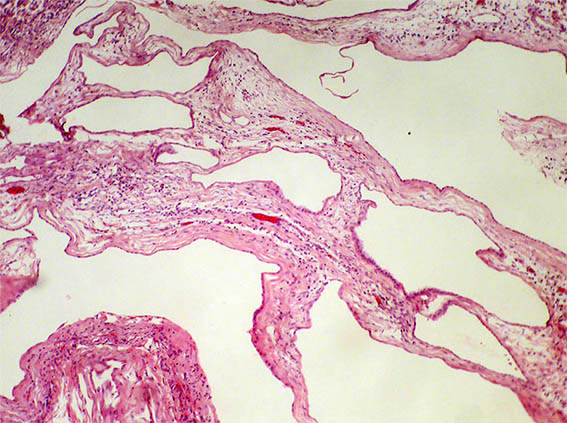
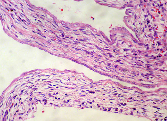
Figura 3.
H&E, X100.

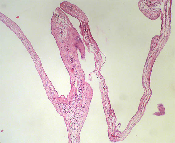
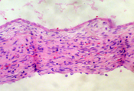
Figura 4. H&E, X100.

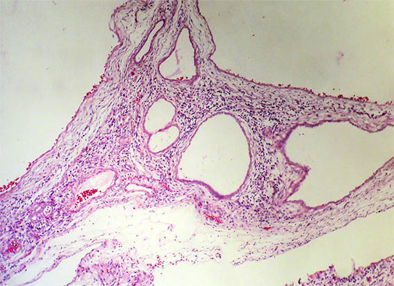
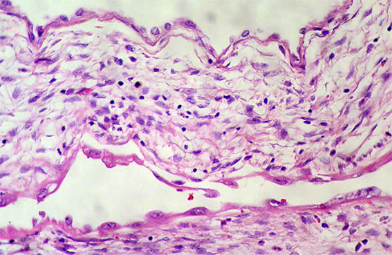
Figura 5. H&E, X100.

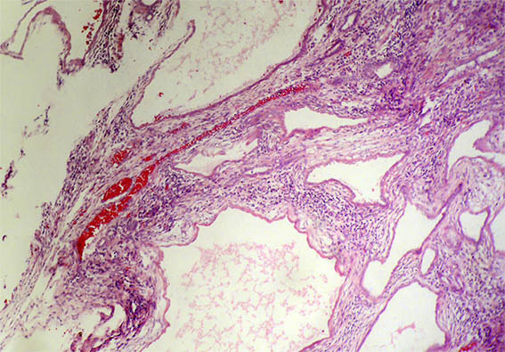
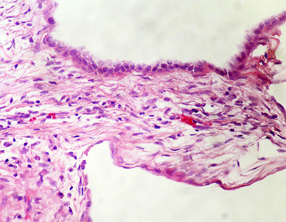
Figura 6. H&E, X100.

Figura 7. H&E, X200.

Figura 8. H&E, X400.

Figura 9. H&E, X400.

Figura 10. H&E, X400.

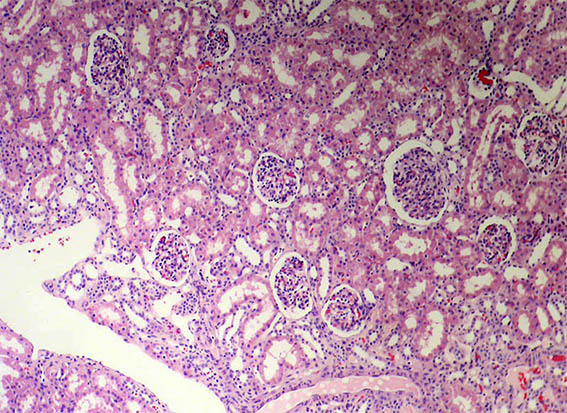
Figura 11. H&E, X100. En el parénquima no neoplásico no se identifican alteraciones.
¿Cuál es su diagnóstico?
Ver
diagnóstico y discusión
[Arriba]
|
|