CASO
211 (septiembre de 2023)
Datos clínicos:
Una mujer de 48 años de edad es evaluada en la consulta de nefrología por presentar enfermedad renal crónica sin una clara etiología. Múltiples estudios para autoinmunidad, infecciones o monoclonalidad fueron negativos. Como antecedentes relata hipertensión arterial e hiperuricemia diagnosticadas hace 5 años, en tratamiento con IECAs y alopurinol.
Laboratorio: Hb. 10, hto. 29, plaquetas y leucograma normales. Creatinina sérica: 2,2 mg/dL, BUN: 39 mg/dL, ácido úrico: 9,8 mg/dL. Uroanálisis: proteinuria 100 mg/dL, en el sedimento: 3-4 leucocitos por campo de gran aumento (CGA), eritrocitos: 3/CGA, cilindros céreos. Albúmina en suero normal. Electroforesis de proteínas normal.
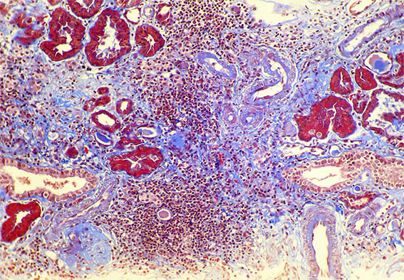
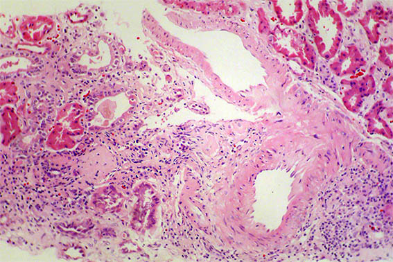
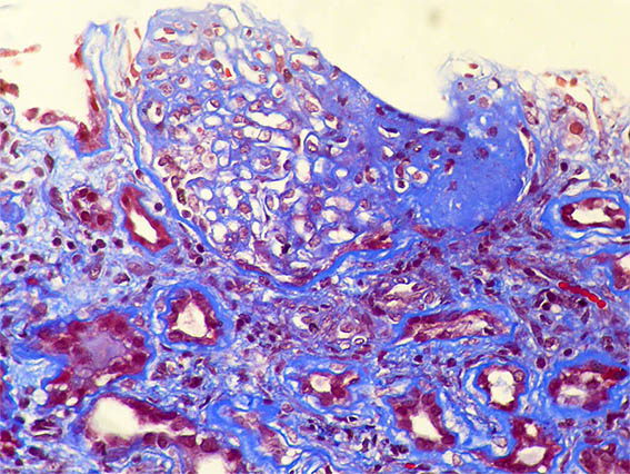
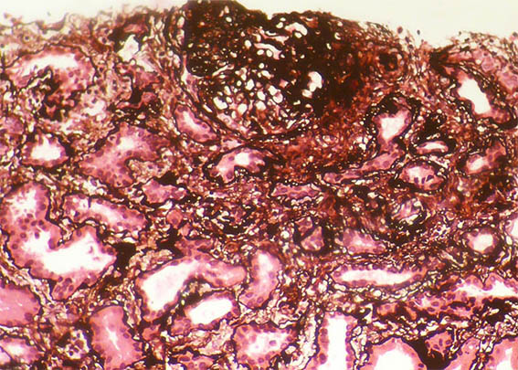
Se hace biopsia renal. Ver las imágenes.

Figura 1. Trcrómico de Masson, X100.

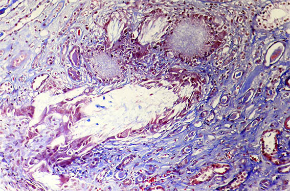
Figura 2. Tricrómico de Masson, X200.

Figura 3.
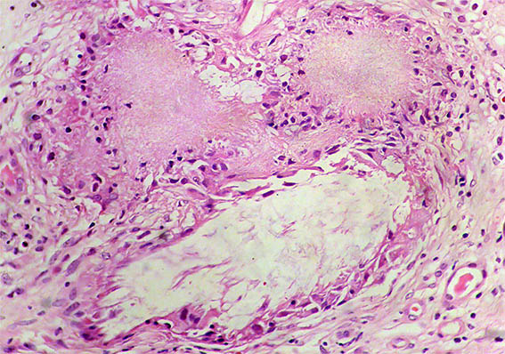
H&E, X200.

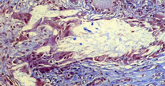
Figura 4. Tricrómicos de Masson, X400.

Figura 5. Plata-metenamina, X200.

Figura 6. H&E, X400.

Figura 7. Tricrómico de Masson, X200.

Figura 8. Tricrómico de Masson, X400.

Figura 9. Tricrómico de Masson, X400.

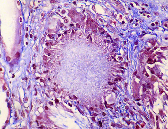
Figura 10.Plata-metenamina, X200.
Inmunofluorescencia directa para IgA, IgG, IgM, C3, C1q, kappa y lambda: Negativas.
¿Cuál es su diagnóstico?
Ver
diagnóstico y discusión
[Arriba]
|