CASO
200 (octubre de 2022)
Datos clínicos:
Mujer de 58 años sin antecedentes personales patológicos, quien es evaluada por edema de piernas, proteinuria y hematuria. El uroanálisis mostró proteinuria de 2,8 g/24h y 15-20 eritrocitos/CGA, muchos de ellos dismórficos. Creatinina sérica: 1,9 mg/dL, BUN: 28 mg/dL; proteínas totales en suero: 5,6 g/dl; albúmina sérica: 3,0 g/dL. C3: 76 mg/dL (88-160 mg/dL), C4: 18 mg/dL (14-40 mg/dL). Hemoleucograma normal. Función hepatobiliar: normal. Pruebas de hepatitis B y C, VIH, ANAs, anti-DNA y ANCAs: Negativos.
Se hace biopsia renal, observe las imágenes:

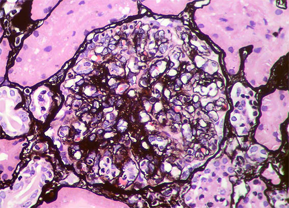
Figura 1. H&E, X400. Hipercelularidad endocapilar.

Figura 2. H&E, X400. Lobulación.

Figura 3.
Plata-metenamina, X400. Algunas paredes capilares engrosadas y algunos dobles contornos.

Figura 4. Plata-metenamina, X400.

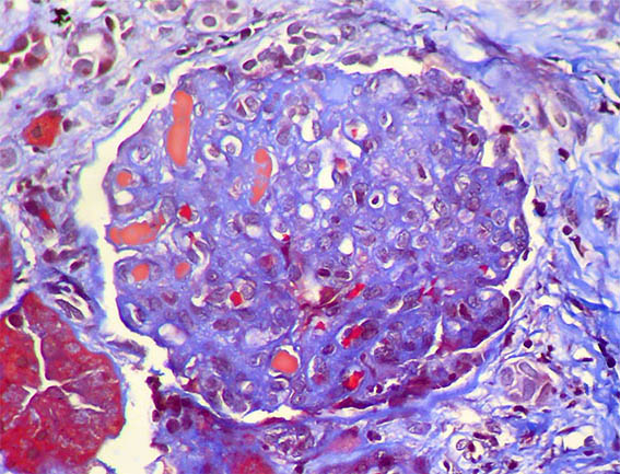
Figura 5. Tricrómico de Masson, X400. Acúmulos hialinos intracapilares ("trombos hialinos").

Figura 6. Tricrómico de Masson, X400.

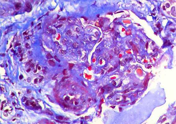
Figura 7. Tricrómico de Masson, X400. Depósitos fuschinofílicos subendoteliales.

Figura 8. Inmunofluorescencia directa para IgM, X400. Depósitos mesangiales y parietales.

Figura 9. Inmunofluorescencia directa para Cadenas ligeras kappa, X400. Depósitos mesangiales y parietales.

Figura 10. Inmunofluorescencia directa para Cadenas ligeras lambda, X400. ~Negativa.

Figura 11. ME, aumento original, X2.500. Depósitos electron-densos subendoteliales no organizados.

Figura 12. ME, aumento original, X2.500. Depósitos subendoteliales y ocasionales depósitos subepiteliales. También hay algunos depósitos mesangiales no organizados (no mostrados en esta imagen).

Figura 13. ME, aumento original, X4.000.
Inmunofluorescencia directa para IgA, IgG y C1q: Negativas. C3: positividad parietal y mesangial débil.
¿Cuál es su diagnóstico?
Ver
diagnóstico y discusión
[Arriba]
|