CASO
20 (octubre 2007)
Datos clínicos
Hombre de 65 años de edad, con
antecedente de severa dislipidemia y enfermedad arterial oclusiva crónica
que requirió amputación de miembro inferior varios años
antes, consulta por edemas de tres meses de evolución. No relata
otros síntomas.
Otros antecedentes personales: Fumador
de 10 cigarrillos/día desde los 18 hasta los 60 años; licor
ocasional; no diabetes mellitus; trabajador en joyeria desde hace más
de 20 años (manipula mercurio).
No relata antecedentes familiares patológicos
diferentes a hipertensión arterial y enfermedad coronaria.
Al exámen físico presión
arterial 160/100, FC: 84 x minuto, peso 90 kg, índice de masa corporal
27,5; edema hasta rodilla y leve ascitis, cara abotagada. No alteraciones
neurológicas ni lesiones en piel.
Paraclínicos: Hb 12,8 mg/dL, Hto:
38%; leucograma en rangos normales; pruebas hepáticas normales;
creatinina sérica: 1,1 mg/dL; C3 y C4 en rangos normales; ANAs,
ANCAs, pruebas para virus causantes de hepatitis y HIV: negativas. Colesterol:
360 mg/dL; triglicéridos: 418 mg/dL; albúmina sérica
2,6 g/dL; proteínas totales: 4,1 g/L; . Electroforesis de proteínas
en sangre: sin pico monoclonal. Rayos X de tórax sin lesiones;
eco abdominal: sin alteraciones, riñones de tamaño normal
y con relación corticomedular conservada.
Estudio de orina: Proteinuria: 23,0 g/24h,
6 eritrocitos x campo de gran aumento, sin cilindros, proteína
de Bence-Jones negativa.
¿Cuál es su diagnóstico
clínico?
Se realiza biopsia renal. Observe las
imágenes.

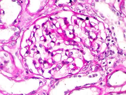
Figura 1.
H&E, X400.

Figura 2.
PAS, X400.

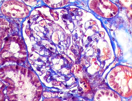
Figura 3.
Tricrómico de Masson, X400.

Figura 4.
Plata-metenamina, X400.

Figura 5.
Plata-metenamina, X400.

Figura 6.
Inmunofluorescencia directa para IgG, X400. La positividad
fue difusa

Figura 7.
Inmunofluorescencia directa para C3, X400. La positividad
fue difusa.
Inmunofluorescencia para IgA, IgM y
C1q: Negativas.
¿Cuál es su diagnóstico?
Ver
diagnóstico y discusión
[Arriba]
|