CASO
19 (septiembre 2007)
Datos clínicos
Mujer de 49 años de edad, consulta
por malestar general, fiebre y edemas de una semana de evolución;
disminución no cuantificada (subjetiva) del volumen urinario. No
síntomas neurológicos.
Un mes antes del inicio de estos síntomas
la paciente presentó lesiones en piel de miembros inferiores y
fiebre, recibió antibióticos por 10 días y los cultivos
de dichas lesiones fueron negativos. Una de estas lesiones fue biopsiada
y se diagnosticó "capilaritis" sin evidencia de vasculitis
en arterias, arteriolas o venas (biopsia no disponible en nuestro laboratorio).
Ingresa en regular estado general, PA:
150/100, FC: 90 por minuto, afebril, leve palidez generalizada, conciente
y orientada, edema grado II de miembros inferiores, cara abotagada. No
se identifican lesiones activas en piel. Hay zona con aspecto cicatricial,
superficial, en parte superior, posterior de la pierna. No se identifican
otras lesiones.
En los paraclínicos iniciales
se detecta anemia leve normocítica normocrómica, sin evidencia
de hemólisis; leucograma y plaquetas normales; creatinina sérica
de 12,8 mg/dL; BUN 580 mg/dL; glicemia 95 mg%. Citoquímico de orina:
proteinuria 300 mg/dL, eritrocitos: 50 por campo de gran aumento; no leucocitos,
glucosa negativa. ANAs negativos; ENAs, anti Ro y anti La negativos; ANCAs
negativos; C3: 65 (90-180), C4: 16 (10-40); pruebas para hepatitis B y
C negativas, HIV negativo. AELOs: levemente elevados, anti DNasa negativos.
Ecografia renal: riñones aumentados
de tamaño y con buena diferenciación corticomedular.
Se hace hemodiálisis interdiaria
los primeros días. Tres días después del ingreso
la paciente presenta somnolencia y desorientación en tiempo y espacio,
permanece dormida casi todo el tiempo y es difícil despertarla
con estímulos. Se realiza resonancia magnética de encéfalo
en la que se detecta "hiperintensidad en bulbo cerebral" y se
diagnostica "mielinolisis póntica"; esta alteración
neurológica ha permanecido casi dos meses después de su
presentación inicial, aunque, según algunos evaluadores,
"con leve mejoría"; hay menos somnolencia pero la paciente
está apática, no se levanta y presenta desorientación
temporo-espacial.
¿Cuál es su diagnóstico
clínico?
Dado el estado general de la paciente
y el compromiso multiorgánico, con la impresión diagnóstica
de vasculitis sistémica, se inicia inmunosupresión: metilprednisolona
y ciclofosfamida; además se da tratamiento antibiótico empírico.
10 días después del ingreso y 6 días después
del inicio de la inmunosupresión la paciente presenta mejoría
de la función renal y se suspende la diálisis, permaneciando
sin necesidad de ella; 45 días después del ingreso la creatinina
es de 1,2 mg/dL.
20 días después del ingreso
se reliaza biopsia renal percutánea.
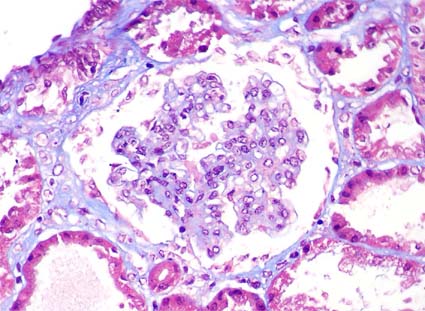
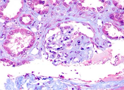
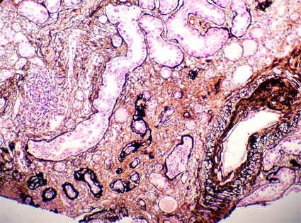
En ella se identifican 10 glomérulos,
uno de ellos globalmente esclerosado, otro con esclerosis segmentaria
(Figura 4) y en los restantes hay proliferación mesangial (entre
leve y moderada). No hay segmentos de necrosis, cariorrexis ni semilunas.
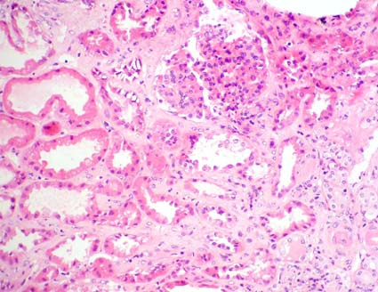
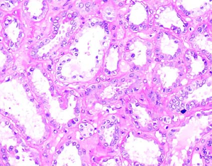
En los túbulos e intersticio hay los cambios que pueden evidenciarse
en las Figuras 1, 5 y 6.
Observe las imágenes.

Figura 1.
H&E, X100.

Figura 2.
Tricrómico de Masson, X400.

Figura 3.
Tricrómico de Masson, X400.

Figura 4.
Tricrómico de Masson, X400.

Figura 5.
PAS, X400.

Figura 6.
Plata-metenamina, X400.

Figura 7.
Izquierda y derecha: inmunofluorescencia directa
para C3, X400. Inmunotinción difusa.

Figura 8.
Izquierda: inmunofluorescencia directa para IgG,
X400; derecha: inmunofluorescencia directa para IgA,
X400. Inmunotinción difusa en ambas.
Inmunofluorescencia para IgM y C1q:
negativas.

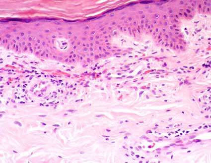
Figura 9.
H&E, X400. Leve inflamación de tipo mononuclear y extravasación
de eritrocitos. No hay vasculitis en arterias, arteriolas, venas ni vénulas.
El caso fue diagnosticado por dermatopatólogo como "capilaritis".
(Imagen cortesía del Departamento de Dermatopatología, Facultad
de Medicina, Universidad de Antioquia).
¿Cuál es su diagnóstico?
Ver
diagnóstico y discusión
[Arriba]
|