CASO
16
Datos clínicos
Paciente de sexo masculino, hispánico,
19 años de edad. Consulta por presentar un mes de evolución
de edemas en miembros inferiores. Al examen físico: Presión
arterial: 136/85; tórax, abdomen y sistema nervioso sin alteraciones.
Hay notorio edema en pies y piernas.
El estudio de orina mostró proteinuria
>300 mg/dL, hematuria microscópica, sin leucocitos ni cilíndros;
proteinuria en 24 horas: 13,4 g; albúmina sérica: 3,1 g/L,
creatinina sérica: 1,7 mg/dL; HBSAg, HCV, HIV y ANCAs negativos;
complemento: C3: 39 (90-180), C4: 4 (10-40); antiestreptolisina O (AELO):
15 U/mL.
Un mes antes del inicio de los síntomas
(2 meses antes de la evaluación y biopsia) el paciente presentó
piodermitis en pierna izquierda que resolvió espontáneamente
una semana después, sin antibióticos (tres semanas previo
al inicio de los síntomas).
¿Cuál es su diagnóstico
clínico?
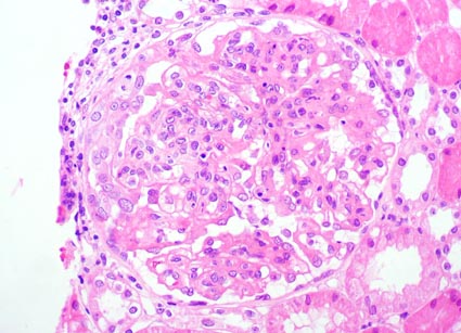
Observe las imágenes de la biopsia.

Figura 1.
H&E, X400.

Figura 2.
Tricrómico de Masson, X400.

Figura 3.
PAS, X400.

Figura 4.
Plata-metenamina, X400.

Figura 5.
Plata-metenamina, X400.

Figura 6.
Inmunofluorescencia directa para IgG, X400 (izquierda)
y para IgA, X400 (derecha).

Figura 7.
Inmunofluorescencia directa para C3, X400 (izquierda)
y para C1q, X400 (derecha).
La inmunofluorescencia para IgM fue positiva (imagen
similar a la microfotografía de la inmunotinción para C1q).
¿Cuál es su diagnóstico?
Ver
diagnóstico y discusión
[Arriba]
|