|
|
CASO
117 (Noviembre de 2015)
Datos clínicos:
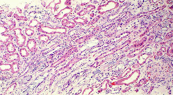
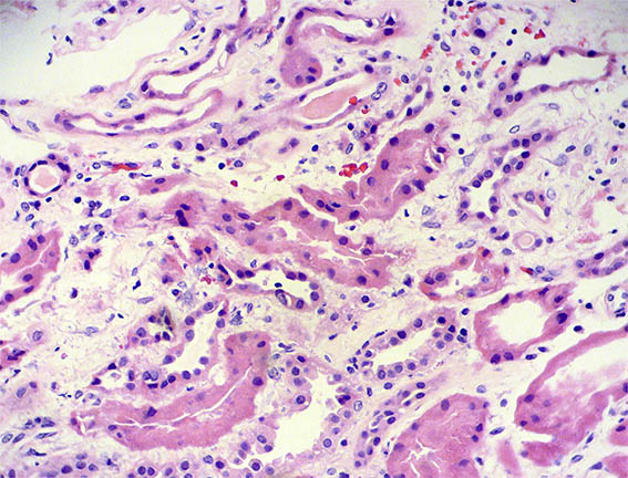
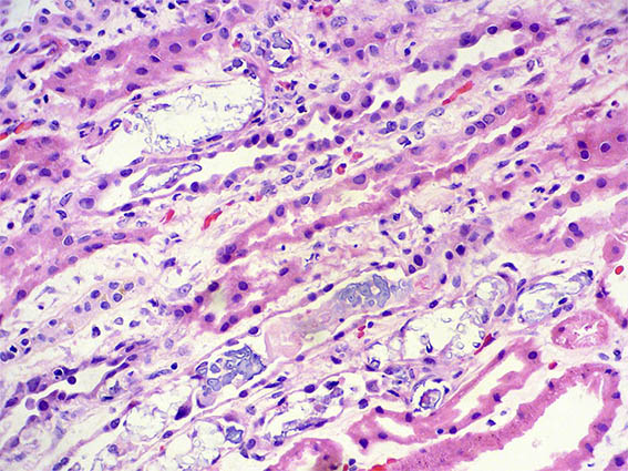
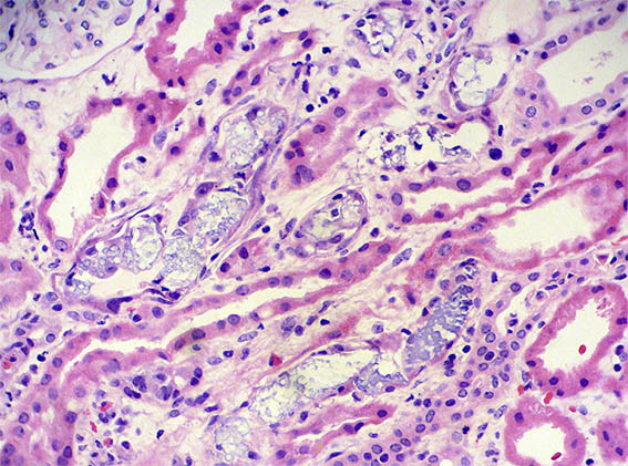
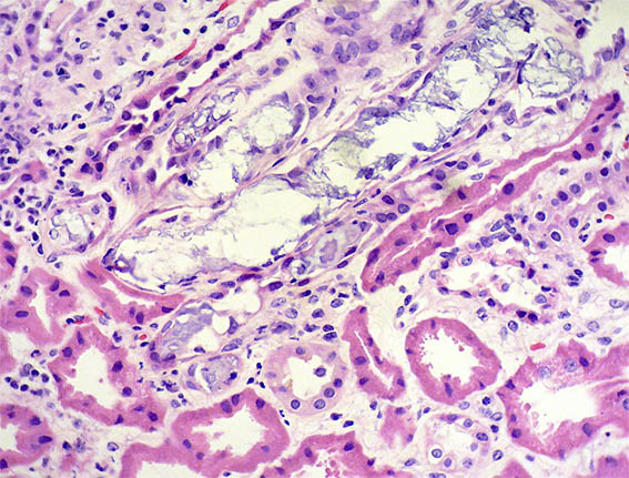
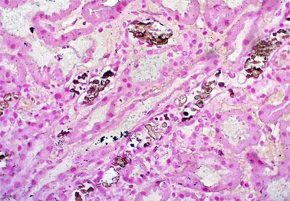
Una mujer de 60 años de edad presentó falla renal aguda que requirió hemodiálisis. Tres días antes se había aplicado un enema conteniendo fosfato de sodio como preparación para colonoscopia ordenada por síntomas gastrointestinales.
Se hace biopsia renal, observe las imágenes.

Figura 1.
H&E, X100.

Figura 2.
Tricrómico de Masson, X400.

Figura 3.
Plata-metenamina, X400.

Figura 4. H&E, X400.

Figura 5.
H&E, X400.

Figura 6.
H&E, X400.

Figura 7. H&E, X400.

Figura 8. H&E, X400.

Figura 9.
Von Kossa, X400.
Inmunofluorescencia directa para IgA, IgG, IgM, C3, C1q, kappa y lambda: Negativas.
¿Cuál es su diagnóstico?
Ver
diagnóstico y discusión
[Arriba]
|
|