CASO
11
Datos clínicos
Mujer de 44 años de edad con insuficiencia renal
terminal de causa desconocida (presumiblemente "glomerulonefritis
crónica"). Luego de 4 meses en hemodiálisis se hace
trasplante renal de donante cadavérico muerto por trauma encefalocraneano.
Trasplante sin complicaciones, rápido descenso
de la creatinina hasta 1,2 mg/dL a la semana post-trasplante. A los 23
días: 1,5 mg/dL y a los 30 días post-trasplante se eleva
hasta 3,0 mg/dL. No hay ptoteinuria ni hematuria. Volumen urinario: 1.500
cc/24h. Por eco doppler no se detecta aumento de la resistencia en vasos
renales. Se dan bolos de esteroides sin respuesta.
Se hace biopsia renal. Observe las imágenes.

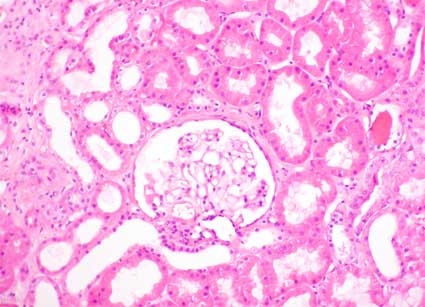
Figura 1.
H&E, X200.

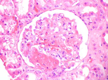
Figura 2.
H&E, X400.

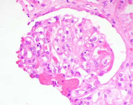
Figura 3.
H&E, X400.

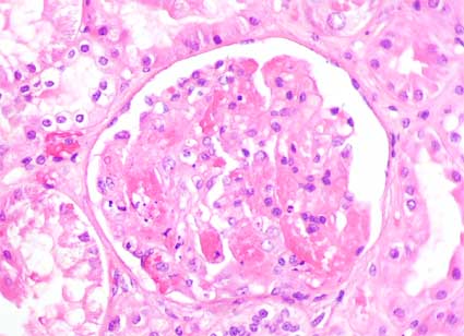
Figura 4.
H&E, X400.
Inmunohistoquímica para detectar C4d: negativa.
¿Cuál es su diagnóstico?
Ver
diagnóstico y discusión
[Arriba]
|