|
|
CASO
102 (Agosto de 2014)
Datos clínicos:
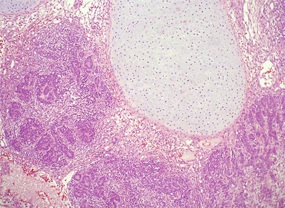
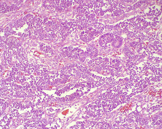
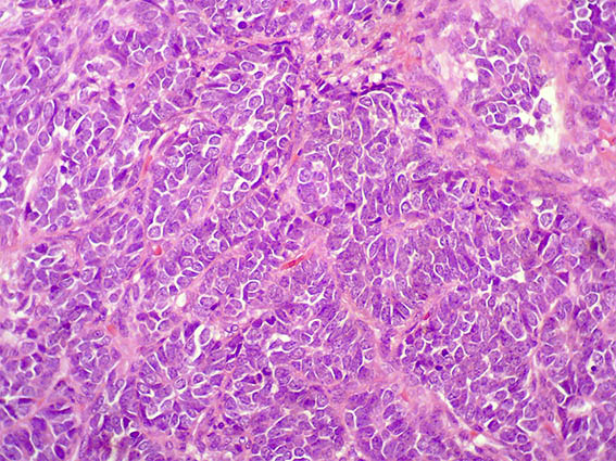
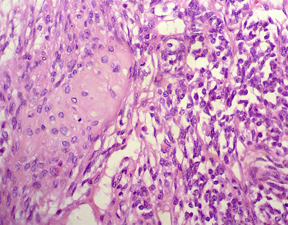
En un niño de 2 años de edad se detecta masa renal izquierda de aproximadamente 10 cm de diámetro mayor.
Se hace resección, observe las imágenes micro.

Figura 1.
H&E, X40.

Figura 2.
H&E, X100.

Figura 3.
H&E, X200.

Figura 4.
H&E, X200.

Figura 5.
H&E, X100.

Figura 6.
H&E, X200.

Figura 7.
H&E, X200.

Figura 8.
H&E, X400.

Figura 9.
H&E, X400.

Figura 10.
H&E, X400.

Figura 11.
H&E, X400.

Figura 12.
H&E, X400.
¿Cuál es su diagnóstico?
Ver
diagnóstico y discusión
[Arriba]
|
|