CASO
1 (Febrero-Marzo 2006)
Datos
clínicos
Mujer de 31 años; hace dos meses presentó
episodio de hematuria macroscópica, proteinuria (sin cuantificación
precisa) e infección de vías urinarias. Recibió tratamiento
antibiótico y desapareció la hematuria dos semanas más
tarde. Ningún otro dato adicional sobre este episodio.
Un mes después, nuevamente hematuria franca, cilíndros
hemáticos y granulosos en el sedimento de orina; proteinuria: 240
mg/24 horas.
Depuración de creatinina: 80 ml/min con un volumen urinario de
2000 mL.
Creatinina: 1,1 mg/dL; ANAs negativos, complemento normal. Eco renal normal.
Hemoleucograma: dentro de rangos normales.
No antecedentes personales patológicos.
AF: LES en tía y prima.
PA: 130/90; no hay fiebre. No hay edemas. No hay alteraciones al exámen
físico.
¿Cuáles son las posibilidades diagnósticas
más probables de acuerdo con las características clínicas?
Se toma biopsia renal. Observe las imágenes.

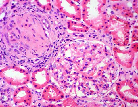
Figura 1.
Los glomérulos presentan leve incremento de la celularidad mesangial.
Dos de 18 glomérulos presentaban esclerosis global (como el de
la izquierda, parte superior) (H&E, X400)

Figura 2.
Otro glomérulo en el que se identifica leve hipercelularidad en
algunas áreas mesangiales. (H&E, X400)

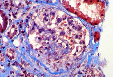
Figura 3.
En uno de los glomérulos identificamos esta lesión esclerosante
segmentaria. (Trcrómico de Masson, X400)

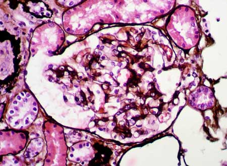
Figura 4.
La tinción con plata resalta un leve incremento de la matriz mesangial,
sin alteraciones de la pared capilar. (Plata-metenamina, X400)

Figura 5.
Depósitos mesangiales intensos, difusos y globales con el enticuerpo
anti-C3. (Inmunofluorescencia para C3, X300)

Figura 6.
La inmunotinción para IgA fue negativa, al igual que para otras
inmunoglobulinas y C1q. (Inmunofluorescencia para IgA,
X400)
La inmunofluorescencia para IgG, IgM, C1q, kappa y lambda,
fueron negativas.
¿Cuál es su diagnóstico?
Ver
diagnóstico y discusión
[Arriba]
|