|
CASE
99 (May 2014)
Clinical information
The patient is a 27-year-old man with a history of several episodes of macroscopic hematuria in the last year, with persistent microscopic hematuria and mild proteinuria in several urinalysis. A renal biopsy was requested, however, it was not done due to social and economic difficulties. The patient consults the doctor for a week of edema, malaise, subjective fever and flu symptoms.
In laboratory tests: creatinine 2.8 mg/dL (0.9 mg/dL three months before). Urinalysis: RBC: 50-60 per high power field (HPF), leukocytes: 5-7/HPF, proteinuria 300 mg/dL, 2.2 g/24h. Studies of autoimmunity: negative; serum complement: normal. Test for viruses: negative.
No other medical history and no known family history of renal disease. At physical examination edema in lower limbs and mild facial edema. BP: 150/90, no fever, no skin lesions. No other alterations.
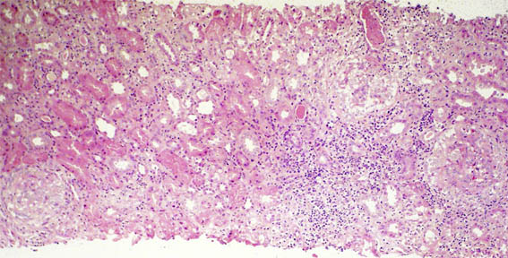
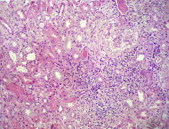
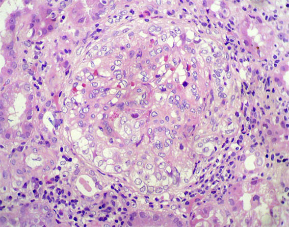
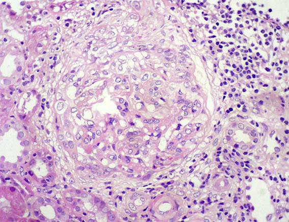
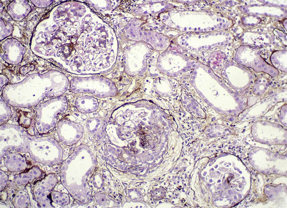
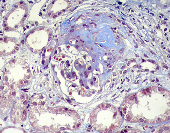
A renal biopsy was carried out. See the images:

Figure 1. H&E, X100.

Figure 2.
H&E, X200.

Figure 3. H&E, X400.

Figure 4. H&E, X400.

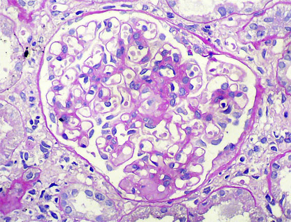
Figure 5. PAS, X400.

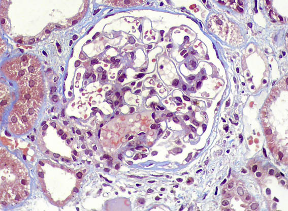
Figure 6. Masson's trichrome stain, X400.

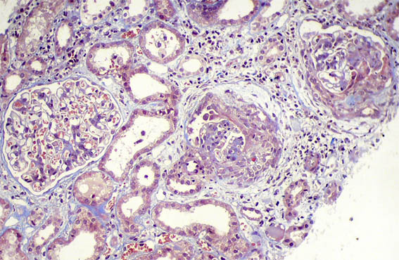
Figure 7. Masson's trichrome stain, X200.

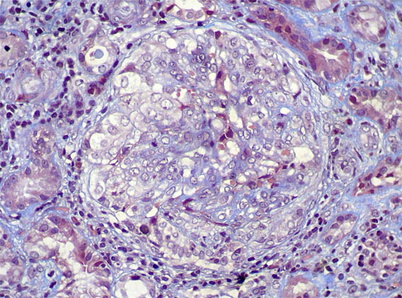
Figure 8. Masson's trichrome stain, X400.

Figure 9. Methenamine-silver stain, X200.

Figure 10. Masson's trichrome stain, X400.

Figure 11. Direct immunofluorescence for IgA, X400.

Figure 12. Direct immunofluorescence for C3, X400.
Immunofluorescence for IgG, IgM, C1q: Negative.
What is your diagnosis?
See
diagnosis and discussion
[Top]
|