|
CASE
95 (January 2014)
Clinical information
A male patient, 32 years old, was referred for renal biopsy because of a 2 year history of progressive proteinuria until full nephrotic syndrome, without impaired renal function.
Laboratory: normal blood count, creatinine 1.1 mg/dL, BUN 19 mg/dL. Proteinuria 7.3 g/24h with no casts or hematuria. Tests negative for viruses and autoimmunity. Normal complement. Negative cryoglobulins.
See the images of the renal biopsy:

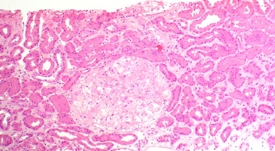
Figure 1. H&E, X100.

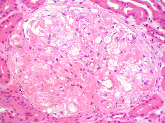
Figure 2.
H&E, X400.

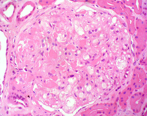
Figure 3. H&E, X400.

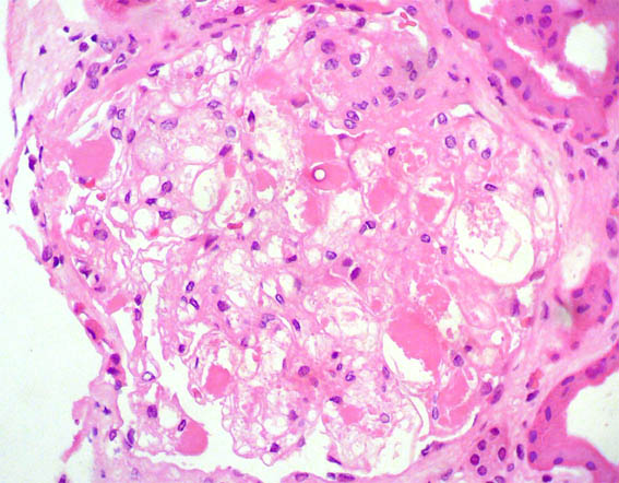
Figure 4. H&E, X400.

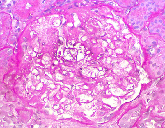
Figure 5. PAS stain, X400.

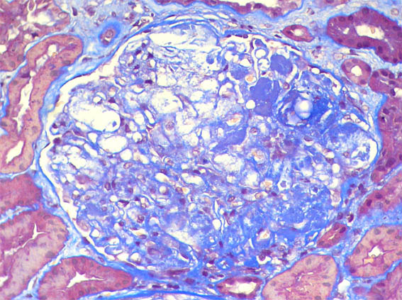
Figure 6. Masson's trichrome stain, X400.

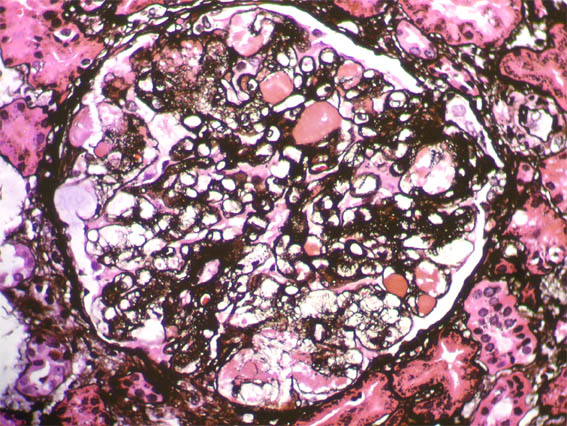
Figure 7. Methenamine-silver stain, X400.

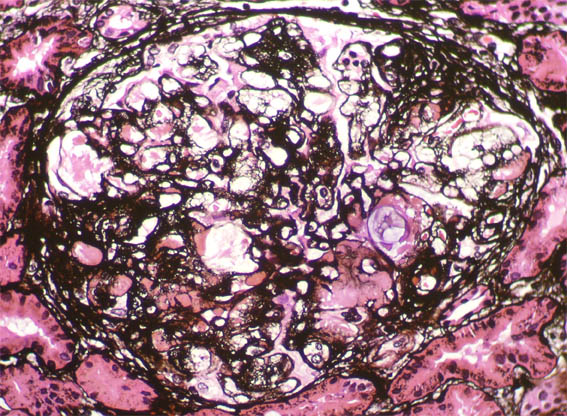
Figure 8. Methenamine-silver stain, X400.

Figure 9. Methenamine-silver stain, X400.

Figure 10. Direct immunofluorescence for IgM, X400.

Figure 11. Direct immunofluorescence for C3, X400.
Direct immunofluorescence for IgA, IgG, and C1q: negative. Kappa and lambda: focal and segmental traces. Fibronogen: negative.
What is your diagnosis?
See
diagnosis and discussion
[Top]
|