|
CASE
91 (September 2013)
Clinical information
The patient is a 81-year-old man with a history of diabetes mellitus and arterial hypertension of many years of evolution, apparently well controlled. He is evaluated by presenting lower limb edema for about a month. No other symptoms. Medications: ACE inhibitors and glibenclamide.
Physical examination: mild mucocutaneous pallor, edema of the lower limbs. No other alterations.
Laboratory: Hb: 9.8 mg/dL, hematocrit 28%. Leucogram and platelets: normal. No dyslipidemia. Total Protein: 6 g/dL, albumin 2.8 g/dL. Cr: 2.8 mg/dL, BUN 28 mg/dL. Urinalysis: Protein: 500 mg/dL, 3-4 leukocytes/HPF, erythrocytes: 8-10/HPF, glucose: negative. Proteinuria: 4.6 g/24 h. ANA and ANCA negative: C3: 68 mg/dL (90-180), C4: 10.2 mg/dL (10-40).
A renal biopsy was performed. See the images.

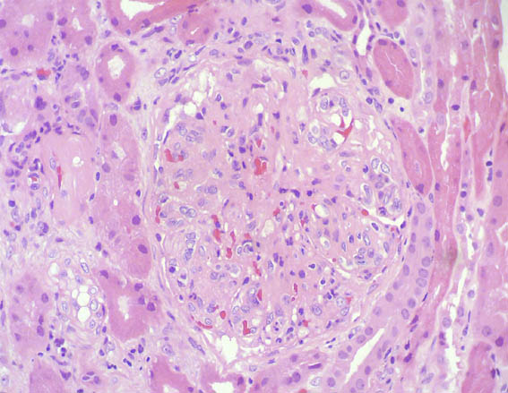
Figure 1.
H&E, X400.

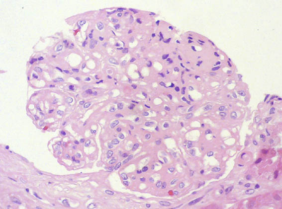
Figure 2.
H&E, X400.

Figure 3.
Masson's
trichrome stain,
X400.

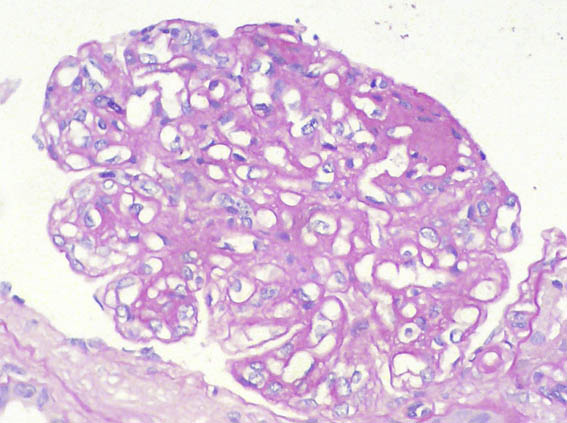
Figure 4.
PAS,
X400.

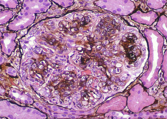
Figure 5.
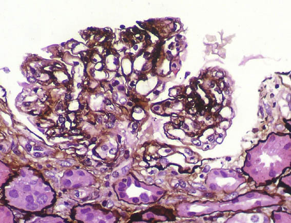
Methenamine-silver stain, X400.

Figure 6. Methenamine-silver stain, X400.

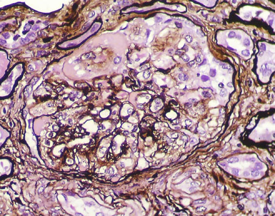
Figure 7.
Methenamine-silver stain, X400.

Figure 8. Direct immunfluorescence for IgG, X400.

Figure 9. Direct immunfluorescence for C3, X400.

Figure 10. Direct immunfluorescence for kappa light chains, X400.

Figure 11.Direct immunfluorescence for lambda light chains, X400.

Figure 12. Direct immunfluorescence for IgG subclasses: upper left: IgG1, upper right: IgG2, lower left: IgG3 (the only positive); lower right: IgG4. Original magnification: X400.
Immunofluorescence for IgA, IgM and C1q: Negative.
What is your diagnosis?
See
diagnosis and discussion
[Top]
|