|
CASE 9
Clinical information
The patient is a 17 year-old woman (2000) who had nephrotic
syndrome without other relevant data in her history. She does not have
familial history of renal or metabolic diseases. Proteinuria: 8.5 g/24h;
generalized edema, hyperlipidemia and hypoalbuminemia. A renal biopsy
was undertaken (figures 1 and 2)
There was not respose to steroids, and in 2002 she continue
with nephrotic proteinuria. Creatinine clearance: 55 mL/min, seric creatinine:
1.2 mg/dL. Other immunosuppressors were used without response (cyclosporine,
azathioprine). A new biopsy was undertaken (Figures 3, and 4)
The patient developed chronic renal failure and she was
kidney transplanted, from cadaveric donor, in August 2004. Graft function
was good: creatinine 1.2 mg/dL, 15 days after transplantation. At one
post-transplant month proteinuria >300 mg/dL was detected. Proteinuria
in 24 h. 8.9 g. The patient condition continued worsen, with generalized
edema, stable graft function, without increase of seric creatinine; hypoalbuminemia
and hyperlipidemia. The proteinuria increased until 28 g/24h. A graft
biopsy was undertaken (Figures 5, 6, and 7). There were clinical complications
and patient died 4 months after transplantation.
What is your clinical diagnosis?

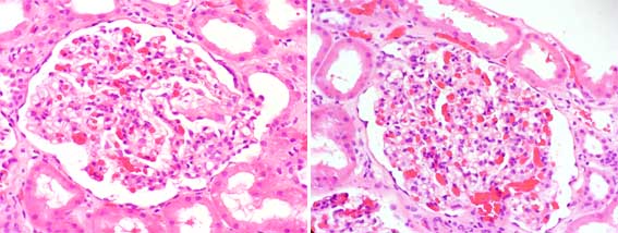
Figure 1.
First native kidney biopsy, 2000; H&E, X400.

Figure 2.
First native kidney biopsy, 2000; methenamine-silver stain, X400.

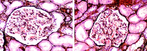
Figure 3.
Second native kidney biopsy, 2002; H&E, left: X400, right, X200.

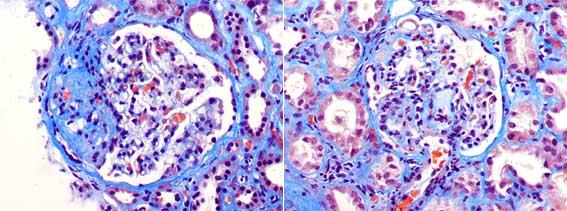
Figure 4.
Second native kidney biopsy, 2002; Masson's trichrome, X400.

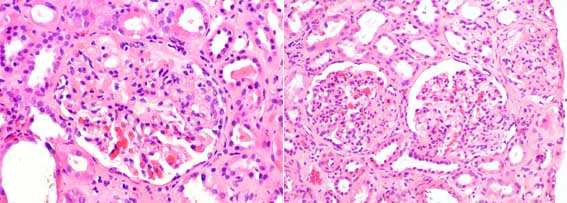
Figure 5.
Kidney allograft biopsy, 2004; left: Masson's trichrome, X400, right:
H&E, X400.

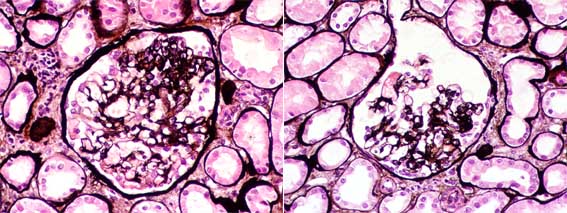
Figure 6.
Kidney allograft biopsy, 2004; methenamine-silver stain, X400.

Figure 7.
Immunofluorescence using antiserum to IgM, X400.
Immunofluorescence for IgA, IgG, C3, and C1q were negative.
What is your diagnosis? Is it
possible to predict the post-transplant glomerulopathy in these cases?
See
diagnosis and discussion
[Top]
|