|
CASE
89 (July 2013)
Clinical information
A 39-year-old man with no relevant medical history presented with lower limbs edema. Hypertension and microscopic hematuria were detected. Serum creatinine 1.2 mg/dL, creatinine clearance: 62 mL/min. Urinalysis: some granular casts, leukocytes: 3-4/hpf, erythrocytes: 8-10/hpf. Proteinuria: 4.3 g/day. Hb: 11 mg/dL, hematocrit 34%. Leucogram and platelets: normal.
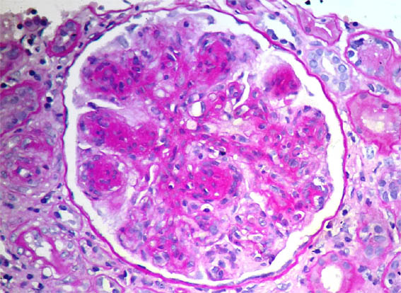
ANA, ANCA and virus tests were negative. C3: 64 mg/dL (90-180), C4: 12 mg/dL (10-40).
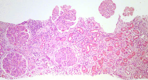
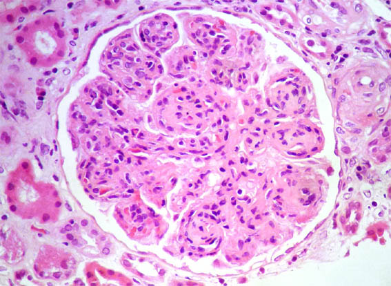
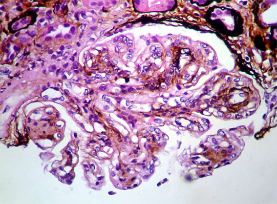
See the images of the renal biopsy.

Figure 1.
H&E, X100.

Figure 2.
H&E, X400.

Figure 3.
Masson's
trichrome stain,
X400.

Figure 4.
Masson's
trichrome stain,
X400.

Figure 5.
PAS, X400.

Figure 6. Methenamine-silver stain, X400.

Figure 7.
Methenamine-silver stain, X400.

Figure 8. H&E, X400.

Figure 9. Direct immunfluorescence for IgG, X400.

Figure 10. Direct immunfluorescence for IgM, X400.

Figure 11. Direct immunfluorescence for C3, X400.

Figure 12. Direct immunfluorescence for C1q, X400.
Immunofluorescence for IgA: Negative.
What is your diagnosis?
See
diagnosis and discussion
[Top]
|