|
CASE
88 (June 2013)
Clinical information
The patient is a 67-year-old man with lower limbs edema for about a month. Complete nephrotic syndrome was documented. Serum creatinine 1.2 mg/dL, BUN 27 mg/dL, Hb: 10 mg/dL, hematocrit 29%, platelets and white blood cell count were normal. Studies for autoimmunity and viruses were negative.
See the images of the renal biopsy.

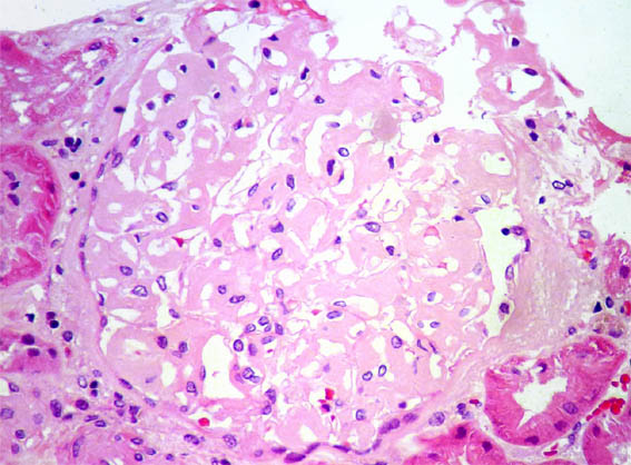
Figure 1.
H&E, X400.

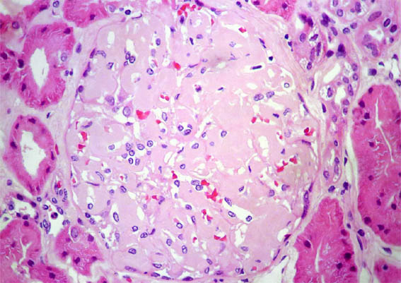
Figure 2.
H&E, X400.

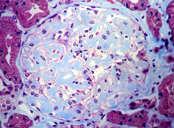
Figure 3.
Masson's
trichrome stain,
X400.

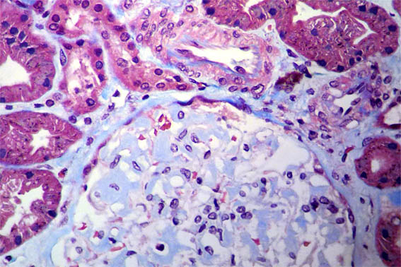
Figure 4.
Masson's
trichrome stain,
X400.

Figure 5.
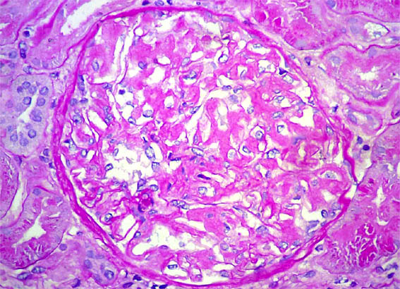
PAS, X400.

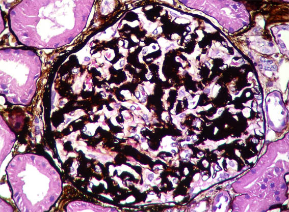
Figure 6. Methenamine-silver stain, X400.

Figure 7.
Methenamine-silver stain, X400.

Figure 8.
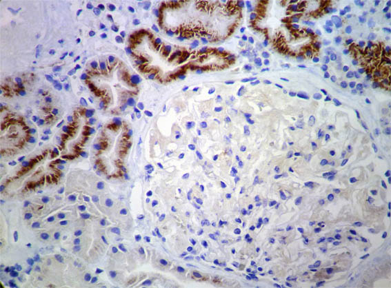
Immunostaining for kappa light chains, X400.

Figure 9.
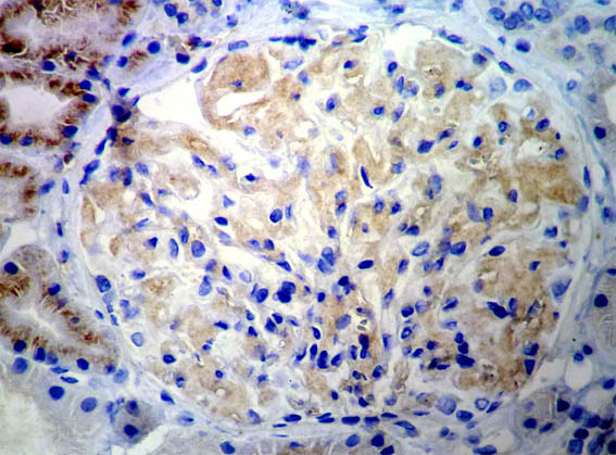
Immunostaining for lambda light chains, X400.

Figure 10. Immunostaining for A amyloid, X400.

Figure 11. Congo red with polarized light in diverse grades of lens rotation, X400.
Immunofluorescence for IgA, IgG, IgM, C3,
and C1q: Negative.
What is your diagnosis?
See
diagnosis and discussion
[Top]
|