|
|
CASE
87 (May 2013)
Clinical information
Male patient, 29 years of age, history of sickle cell anemia without painful crises in the last four months. With headache, nausea and vomiting from a week earlier. High blood pressure was found: 220/120, heart rate: 60, respiratory rate 16. No signs of pulmonary edema, no arrhythmias.
Laboratory: Hb 9.6 mg/dL, hematocrit 29%, platelets: 225,000, normal coagulation tests. Cr: 1.5 mg/dL, BUN 49 mg/dL, Cr clearance 43 mL/min. Proteinuria in 24 hours: 9.8 grams. Total cholesterol 184, triglycerides 281. ANA and ANCA negative, complement: normal. Normal liver function tests. HIV and hepatitis virus: negative. Urinalysis: protein 500 mg/dL, erythrocyte 8-10 HPF, without cylinders.
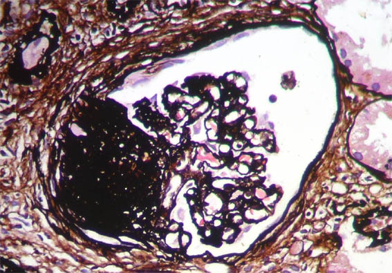
A renal biopsy was undertaken. See the images.

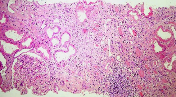
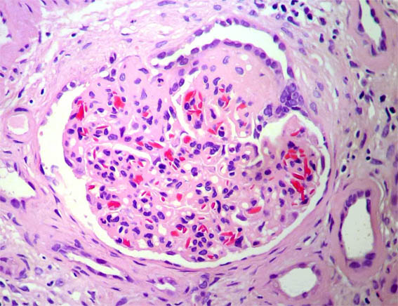
Figure 1.
H&E, X100.

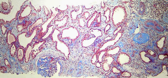
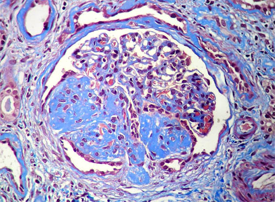
Figure 2. Masson's
trichrome stain X100.

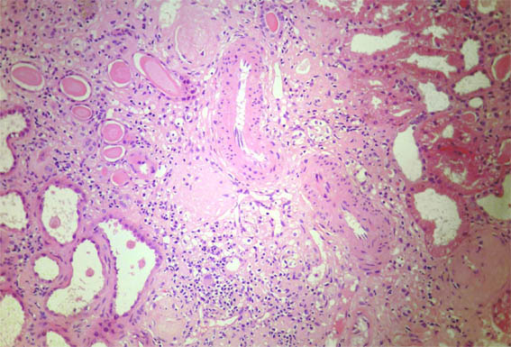
Figure 3.
H&E,
X200.

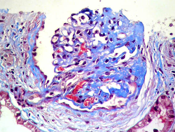
Figure 4.
Masson's
trichrome stain,
X400.

Figure 5.
H&E, X400.

Figure 6.
Masson's
trichrome stain,
X400.

Figure 7. Masson's
trichrome stain, X400.

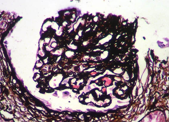
Figure 8.
Methenamine-silver
stain, X400.

Figure 9.
Methenamine-silver stain,
X400.

Figure 10. Methenamine-silver stain,
X400.
Immunofluorescence for IgA, IgG, IgM, C3,
C1q, kappa, and lambda: Negative.
What is your diagnosis?
See
diagnosis and discussion
[Top]
|
|