|
CASE
86 (April 2013)
Clinical information
The patient is a 8 year old girl with
nephrotic syndrome, with edema that began a month earlier. Steroid treatment
was started but no response after the first 4 weeks. Now with raised serum
creatinine: 2.1 mg / dL, microscopic hematuria: 9-10 erythrocytes per
high power field (HPF) and hypertension: BP: 140/90.
Other paraclinical: Hb: 13 mg/dL, Ht.
39%, normal white blood cell count and platelets; albumin: 1.7 g/dL, BUN
41 mg/dL, total cholesterol 410 mg/dL, triglycerides: 388 mg/dL. Tests
for viruses: negative, ANA: negative; C3: 93 (90-180), C4: 27 (10-40).
Urinalysis: granular casts, proteinuria 500 mg/dL. Proteinuria in 24 h:
12 g. Renal ultrasound: normal size, good corticomedullary differentiation.
See the images of the renal biopsy.

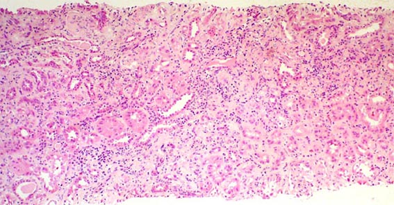
Figure 1.
H&E, X100.

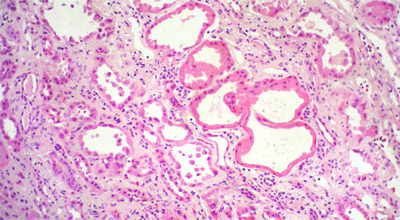
Figure 2.
H&E, X200.

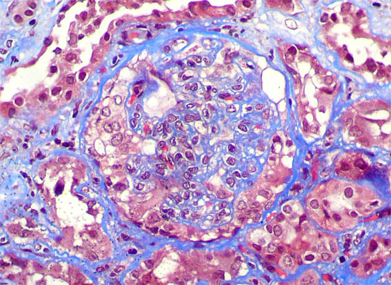
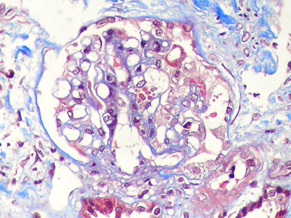
Figure 3.
Masson's
trichrome stain,
X400.

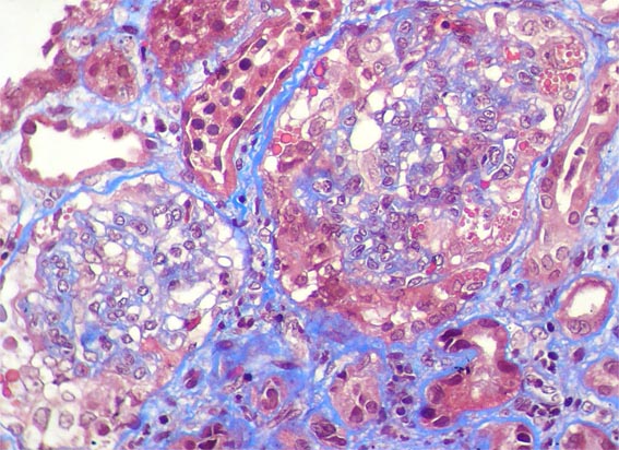
Figure 4.
Masson's
trichrome stain,
X400.

Figure 5.
Masson's
trichrome stain,
X400.

Figure 6.
PAS,
X400.

Figure 7.
Methenamine-silver stain, X400.

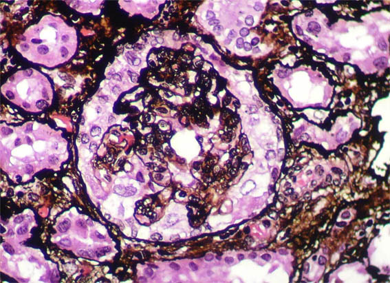
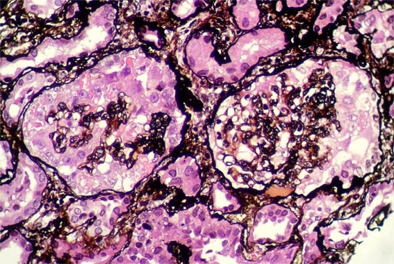
Figure 8.
Methenamine-silver
stain, X400.

Figure 9.
Masson's trichrome stain,
X400.
Immunofluorescence for IgA, IgG, C3,
and C1q: Negative; IgM: unspecific mild focal and segmental immunostaining.
What is your diagnosis?
See
diagnosis and discussion
[Top]
|