CASE 40 (June 2009)
Clinical information
The patient is a 5-year-old African-American
girl. She was diagnosed with acute lymphoid leukemia, with pre-B phenotype
and philadelphia chromosome, 18 months earlier. His treatment included
methotrexate, leucovorin, vincristine, cytarabine, etoposide, L-asparginase,
ifosfamide, razoxane. Several episodes of febrile neutropenia during treatment.
Presented an episode of sepsis, with otomastoiditis and pansinusitis requiring
surgery and antibiotics. She also presented avascular necrosis of femoral
head.
Now she is evaluated by nephrologist
due to edema and creatinine increase. She has also fever, sepsis and pancytopenia.
By ultrasound she has increased kidneys size. A diagnosis of Mycoplasma
pneumoniae lung infection was also done. A treatment with meropenem and
clarithromycin was started. The patient continued still with leukemia
chemotherapy.
She does not have hypertension and does
not have required dialysis.
Serum creatinine: 2.0 mg/dL; creatinine
clearance 50 ml/min, serum albumin: 1.1 g/dL, VIH and hepatitis virus:
negative. Proteinuria: 497 mg/m2/h, leukocytes: 6 hpf, erythrocytes: 8
hpf.
What is your diagnosis?
See the images of the renal biopsy.

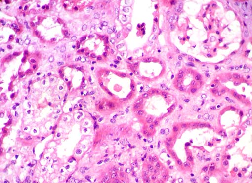
Figure 1.
H&E, X200.

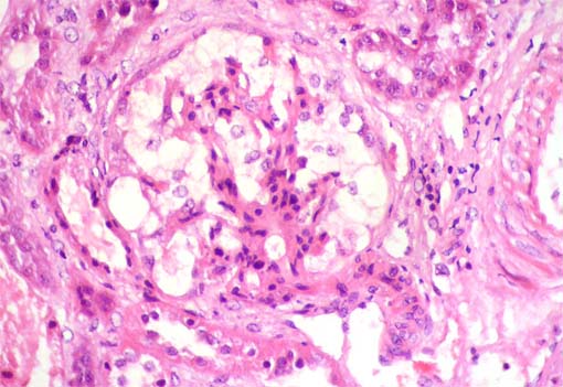
Figure 2.
H&E, X400.

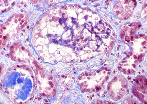
Figure 3.
Masson's trichrome stain,
X400.

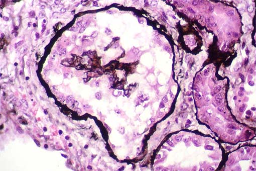
Figure 4.
Methenamine-silver stain,
X400.

Figure 5.
Methenamine-silver stain, X400.

Figure 6.
Methenamine-silver stain, X400.
Direct immunofluorescence for IgA; IgG,
IgM, C3, C1q, kappa, lambda, and fibrinogen: Negative.
What is your diagnosis?
See
diagnosis and discussion
[Top]
|