|
CASE 25 (March 2008)
Clinical information
The patient is a 52-year-old woman with
a history of rheumatoid arthritis that was diagnosed 10 years ago: clinical
and radiological criteria, and rheumatoid factor >160 IU/mL.
From two years ago she presents persistent
microscopic hematuria (6-50 erythrocytes/HPF) without proteinuria or renal
dysfunction. No casts in the urinalysis, but there is deformed erythrocytes.
Treatment: methotrexate, prednisone and
NSAIDs from several years ago. Chloroquine from 8 months ago. She does
not have received gold compounds. She received one dose of rituximab three
months before the renal biopsy.
The patient does not present gastrointestinal,
cardiorespiratory or gynecological symptoms. She presented papillary thyroid
carcinoma 18 years ago, surgically treated, without relapse.
Other tests: ANAs: 1:180 homogeneous
pattern, ENAs negative, native anti-DNA negative.
She does not have blood hypertension,
edema or skin lesions. Deformities in joints due to their underlying disease.
The urological and gynecological examination
and the renal ultrasonography were normal. It was concluded that hematuria
is glomerular.
With the diagnosis of persistent isolated
microscopic hematuria (without proteinuria or renal dysfunction) a renal
biopsy was undertaken.
What is your clinical diagnosis?
See the images.

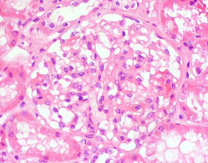
Figure 1.
Mild mesangial cell proliferation: >3 nuclei/mesangial area (H&E,
X400).

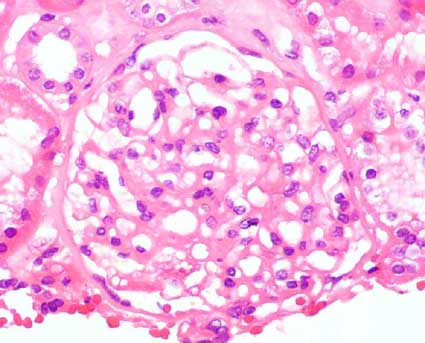
Figure 2.
Some glomeruli appear almost normal (H&E, X400).

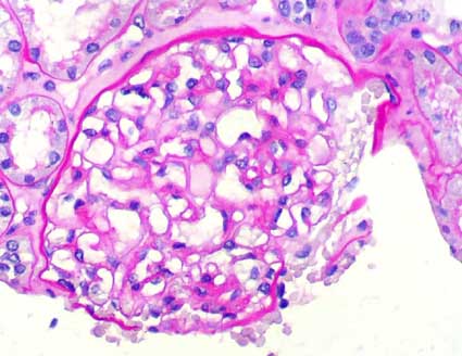
Figure 3.
PAS stain, X400.

Figure 4.
Methenamine-silver stain, X400.

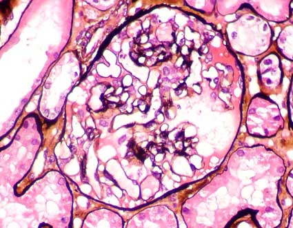
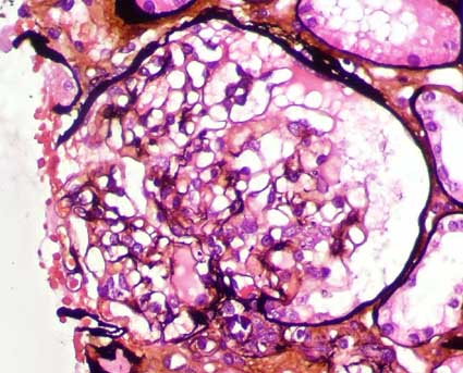
Figure 5.
Cellularity in mesangial areas near to glomerular hilium is not adequate
to evaluate mesangial hipercellularity (Methenamine-silver stain,
X400).
Direct immunofluorescence for IgA, IgG,
IgM, C3, C1q, and kappa and lambda light chains: Negative (12 glomeruli).
What is your diagnosis?
See
diagnosis and discussion
[Top]
|