|
|
CASE
197 (July 2022)
Clinical information
A 37-year-old woman with end-stage chronic kidney disease of unknown cause was transplanted from a cadaveric donor 7 months earlier. Her post-transplant renal function had been adequate, with creatinines between 0.8 and 1.2 mg/dL, without alterations in the urinalysis. Immunosuppression with tacrolimus, prednisone, mycophenolate. She is now being evaluated for general malaise, low-grade fever, and pain in the kidney graft area. Creatinine 1.7 mg/dL and BUN 29 mg/dL. Proteinuria: 200 mg/dL, with leukocyturia and microhematuria.
With suspicion of rejection, a renal biopsy is performed.

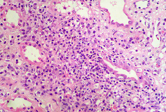
Figure 1. PAS, X40. Note the dense inflammatory infiltrate.

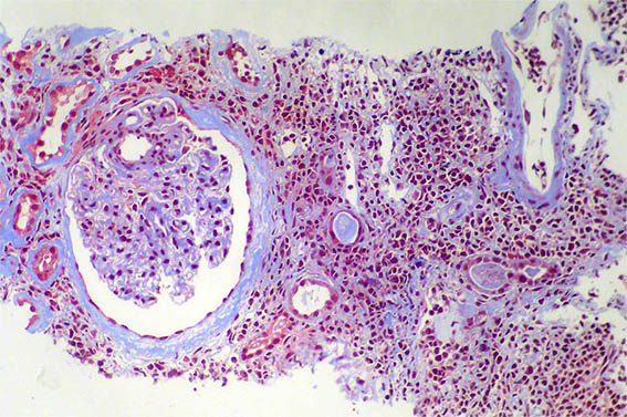
Figure 2. Masson´s trichrome stain, X100.

Figure 3. H&E, X200. Interstitial inflammation, severe tubulitis and frequent plasma cells.

Figure 4. H&E, X200.

Figure 5. H&E, X400.

Figure 6. Masson´s trichrome stain, X200. Endarteritis in the small artery on the right.

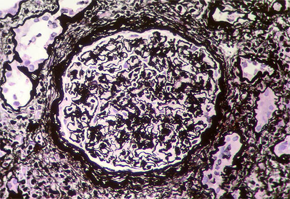
Figure 7. Methenamine-silver stain, X400. Thick and wrinkled basement membranes, suggestive of ischemic changes.

Figure 8. Methenamine-silver stain, X400. Mesangiolysis.
Immunofluorescence for IgA, IgG, IgM, C3, C1q, kappa, and lambda: negative.
C4d: Negative.
What is your diagnosis?
See
diagnosis and discussion
[Top]
|
|