| CASE
194 (April 2022)
Clinical information
A 65-year-old woman presented with purpuric lesions on the skin of the lower extremities, described by the clinician as vasculitic-looking lesions, 2 weeks of evolution. In addition, edema of the lower limbs and general malaise, without other symptoms. On physical examination, in addition to the purpuric lesions, there is arterial hypertension, axillary lymphadenopathy and splenomegaly; mucous membranes, hair and joints without alterations.
In paraclinical tests: Hb: 10 mg/dL, Hct: 31%, leukogram normal, platelets 320,000 mm2. Serum creatinine: 1.9 mg/dL, BUN: 28 mg/dL. C3: 82 (90-180), C4: 4.2 (12-40). ANAs and anti-DNA: negative; ANCAs: negative. Rheumatoid factor: >90 IU/mL (normal: <15). Studies for viruses: negative. Uroanalysis: proteinuria 300 mg/dL, red blood cells: 12/hpf, leukocytes 2-3/hpf, without casts or crystals. Proteinuria in 24h: 2.5 g; serum albumin: 2.9 g/dL.
Look at the images of the kidney biopsy:

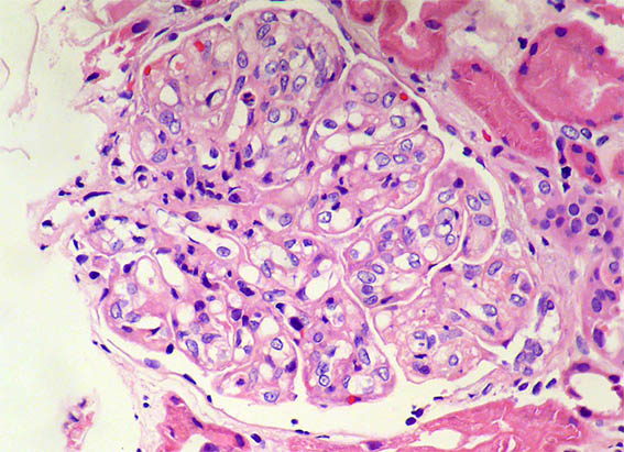
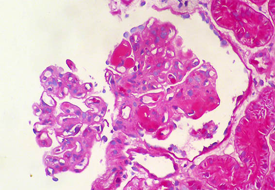
Figure 1. H&E, X400. Note the lobulation and hypercellularity, mainly mesangial in this image.

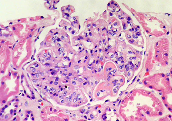
Figure 2. H&E, X400. In this glomerulus there is endocapillary hypercellularity, in addition, subendothelial deposits in the lower right corner.

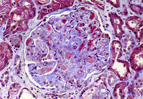
Figure 3. Masson´s trichrome stain, X400. Identify intracapillary hyaline material (misnamed "hyaline thrombi").

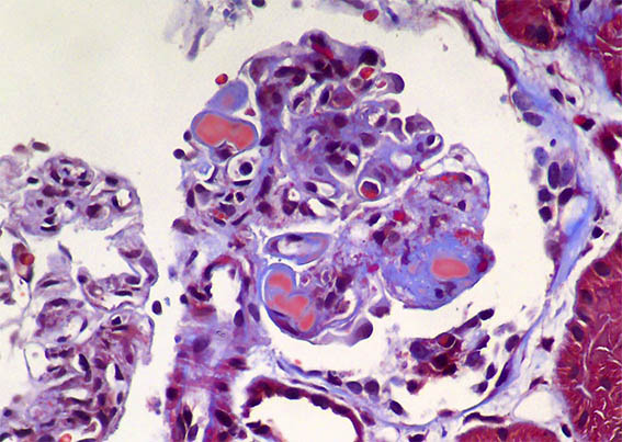
Figure 4. Masson´s trichrome stain, X400. Other capillaries with intracapillary hyaline material ("hyaline thrombi").

Figure 5. PAS, X400.

Figure 6. PAS, X400.

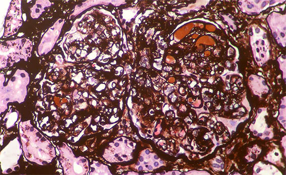
Figure 7. Methenamine-silver stain, X400. More intracapillary hyaline material and some double contours.

Figure 8. Methenamine-silver stain, X400. Some double contours.

Figure 9. Masson´s trichrome satin, X200. Interstitial inflammation and extravasation of erythrocytes in the medulla.

Figure 10. Direct immunofluorescence for IgG, X400.

Figure 11. Direct immunofluorescence for IgM, X400.

Figure 12. Direct immunofluorescence for C3, X400.

Figure 13. Direct immunofluorescence for C1q, X400.

Figure 14. Direct immunofluorescence for kappa light chains, X400.

Figure 14. Direct immunofluorescence for lamba light chains, X400.
Immunofluorescence for IgA: negative.
What is your diagnosis?
See
diagnosis and discussion
[Top]
|