|
|
CASE
193 (March 2022)
Clinical information
A 2-year-old girl is admitted to the emergency department for 5 days with fever, malaise, loss of appetite, and urinary frequency. In the physical examination there are no relevant findings except for the fever: 39 °C. Leukocytosis is documented in paraclinical tests. In urinalysis: microhematuria and leukocyturia. The patient had been receiving outpatient antibiotic treatment for 2 days. Negative blood cultures. Urine culture with growth of more than 100,000 CFU of E. coli. On ultrasound, an echogenic corticomedullary focal area is documented. The CT shows a well-defined lesion in the upper left renal pole, measuring 4 x 3 x 3 cm (Figure 1).
For some unclear reason a nephrectomy is performed, look at the images.

Figure 1. CT, note the well-defined lesion indicated by the arrow.

Figure 2. Although it is not a very clear photo, the lesion can be seen very well (arrows).

Figure 3. H&E, X200. This is a section of the areas without lesion, there are no histological alterations.

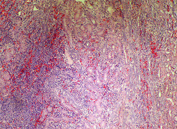
Figure 4. H&E, X100. A transition zone between the upper pole lesion (left) and normal parenchyma (right).

Figure 5. H&E, X200.

Figure 6. H&E, X200.

Figure 7. H&E, X200.

Figure 8. H&E, X400.

Figure 9. H&E, X400.

Figure 10. H&E, X400.
What is your diagnosis?
What is lobar nephronia?
See
diagnosis and discussion
[Top]
|
|