| CASE
192 (February 2022)
Clinical information
A 57-year-old woman with end-stage renal disease due to IgA nephropathy is transplanted from a cadaveric donor. Cause of death of the donor: encephalocranial trauma, he was in the ICU for 36 hours, requiring the use of high-dose vasoconstrictors due to sustained hypotension. No immediate complications after transplant. She presented delayed graft function requiring dialysis the first week, with diuresis of 800 cc/day (there was no pre-transplant residual diuresis). There is no history of sensitization in previous transplant participations; quantitative PRA I and II negative. The recipient of the other kidney from the same donor also has delayed graft function.
The kidney graft is biopsied on the sixth day after transplantation, look at the images.

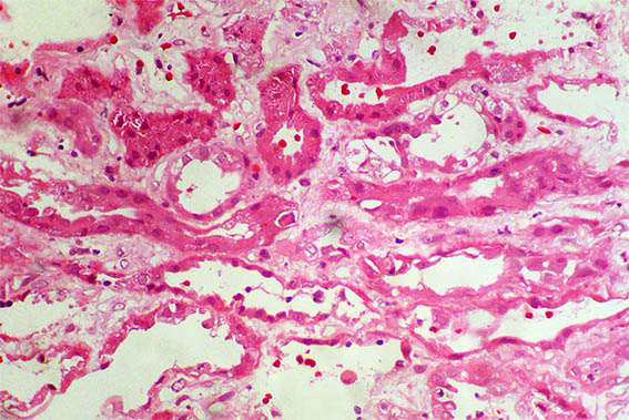
Figure 1. H&E, X100.

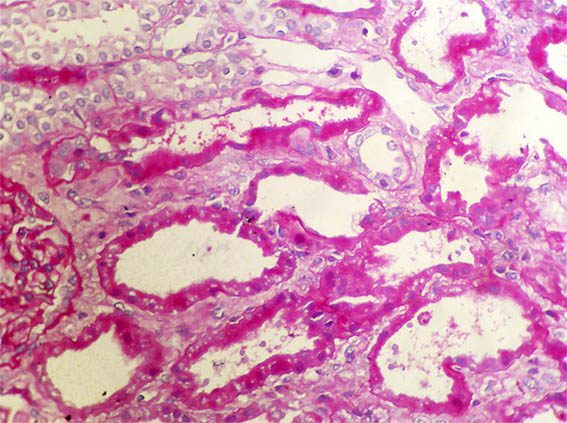
Figure 2. H&E, X400. Acute tubular damage.

Figure 3. H&E, X400.Solidification, loss of many capillary lumens and erythrocyte fragmentation, without glomerulitis. .

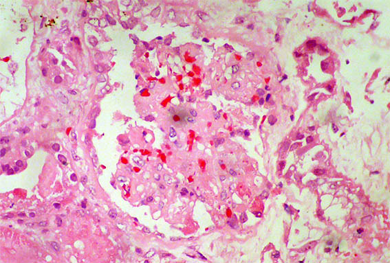
Figure 4. H&E, X400. Glomerulus with a solidified appearance, erythrocyte fragmentation and some obstructed capillary lumens.

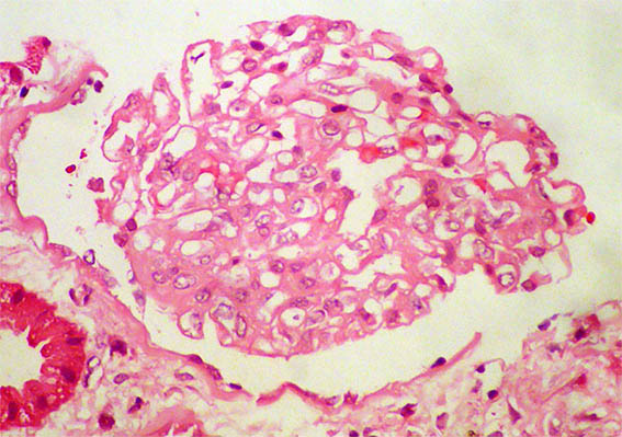
Figure 5. H&E, X400. Glomerulus with global necrosis and erythrocyte fragmentation, without leukocytes.

Figure 6. H&E, X400. An almost normal glomerulus.

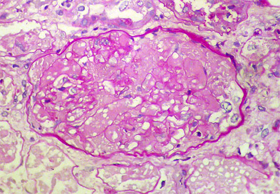
Figure 7. PAS, X400. Glomerulus with loss of general structure and lumens occupied by clear material.

Figure 8. PAS, X400.

Figure 9. Methenamine-silver stain, X400.

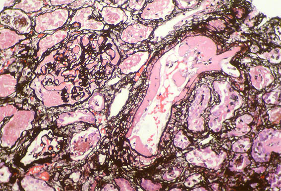
Figure 10. Methenamine-silver stain, X400. Note the artery and the glomerulus.

Figure 11. Masson's trichrome stain, X400. Note the arteriole.

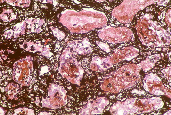
Figure 12. Methenamine-silver stain, X400. Note the tubular epithelial damage.
Immunohistochemistry for C4d: Negative.
What is your diagnosis?
See
diagnosis and discussion
[Top]
|