|
|
CASE
189 (November 2021)
Clinical information
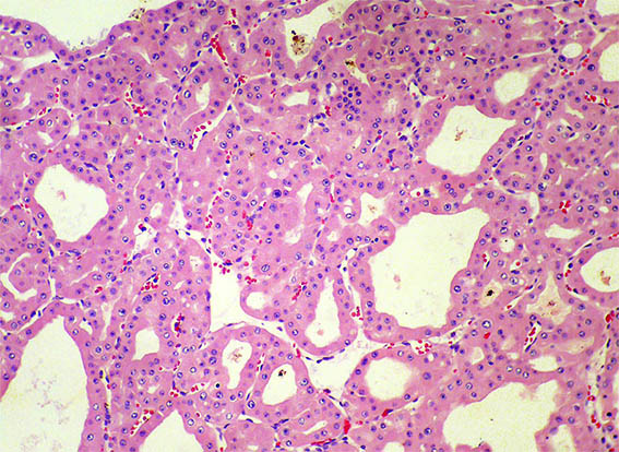
A 57-year-old previously healthy man is evaluated for presenting pain in the right upper quadrant of the abdomen, of several weeks of evolution. As part of the study, an abdominal ultrasound was performed, in which, in addition to stones in the gallbladder, a multicystic lesion was evidenced in the upper pole of the left kidney, 2.5 cm in diameter, well defined, with solid heterogeneous areas, Bosniak III.
The lesion was resected (partial nephrectomy). Look at the pictures.

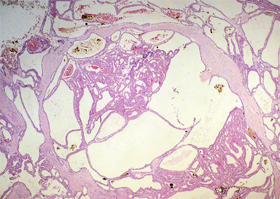
Figure 1. We received the case in consultation, without macroscopic photographs; this is a photograph of sections in the histological slide. See multiple cavities and solid areas. The lesion is well defined.

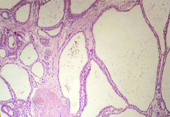
Figure 2. H&E, X40.

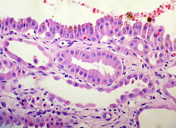
Figure 3. H&E, X100.

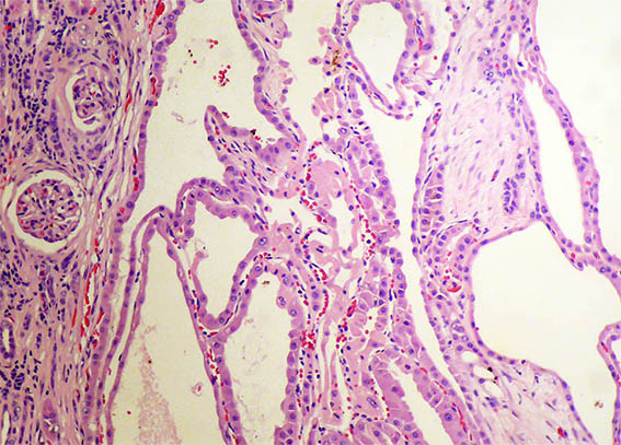
Figure 4. H&E, X100.

Figure 5. H&E, X100.

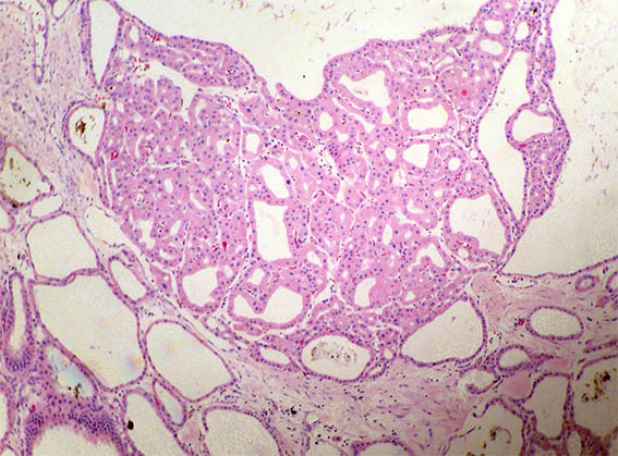
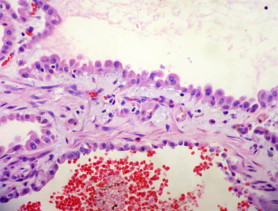
Figure 6. H&E, X200.

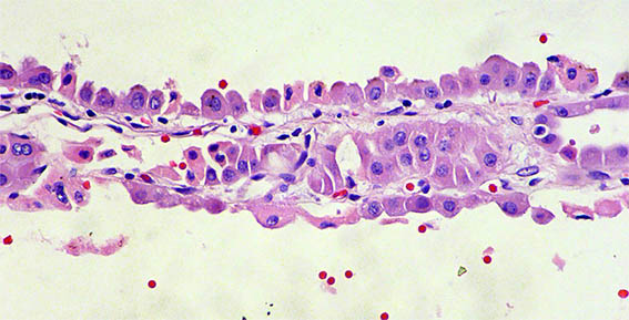
Figure 7. H&E, X400.

Figure 8. H&E, X400.

Figure 9. H&E, X400.

Figure 10. H&E, X400.

Figure 11. H&E, X400.
What is your diagnosis?
See
diagnosis and discussion
[Top]
|
|