|
CASE 17
Clinical information
A 50 year-old male with unknown cause end-stage renal
disease, and in hemodialysis from January 2006, underwent renal transplantation
in May 2006 from a 54 year-old deceased donor; cause of death was hemorrhagic
cerebrovascular disease; his history was relevant for blood systemic hypertension
from several years ago and type II diabetes mellitus diagnosed several
years previous to death (it is not knowed how many years ago and received
treatment).
The intraoperative course was uncomplicated. Renal function
was well in the first days but it increase at 7th post-transplantation
day to 2.9 mg/dL; ultrasound demonstrated perirenal hematoma and in a
surgical intervention a renal biopsy was done (Figures 1, 2, and 3). Renal
function improved and the patient was discharged with a creatinine of
1.4 mg/dL. Immunosuppression included cyclosporin, mycophenolate, and
prednisone. The patient has not presented hyperglycemia.
One post-transplantation year the patient newly present
creatinine increase: 2.1 mg/dL and there was not steroid boluses response.
In addition proteinuria was detected: 600 mg/dL, without hematuria. Ultrasound
detected lymphocele without urinary obstruction and the patient underwent
surgical correction of this alteration; in the procedure the kidney appeared
macroscopically normal; a new renal biopsy was done (one post-transplantation
year) (Figures 4, 5, 6, and 7)
See the images.

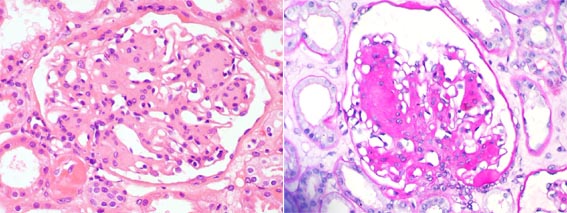
Figure 1.
First post-transplantation biopsy. Left: H&E, X400; right: PAS, X400.

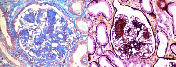
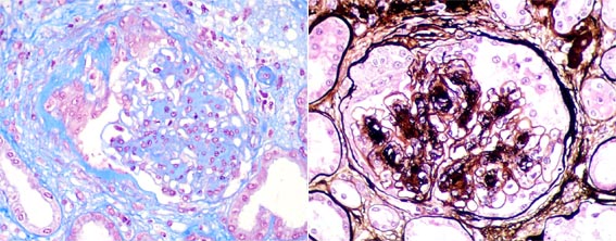
Figure 2.
First post-transplantation biopsy. Left: Masson's trichrome stain, X400;
right: methenamine silver stain, X400.

Figure 3.
First post-transplantation biopsy. Left: H&E, X400; right: PAS, X200.

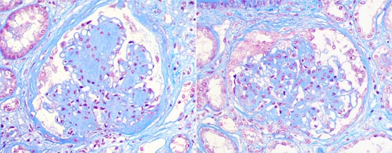
Figure 4.
Second post-transplantation biopsy. Left
and right: Masson's trichrome stain, X400.

Figure 5.
Second post-transplantation biopsy. Left: Masson's trichrome stain, X400;
right: methenamine silver stain, X400.

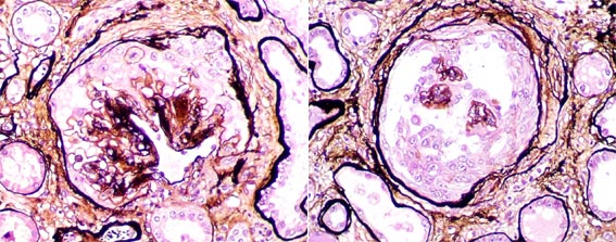
Figure 6.
Second post-transplantation biopsy. Left and right: methenamine silver
stain, X400.

Figure 7.
Second post-transplantation biopsy. Immunofluorescence using antiserum
to IgG, x400 (left) and C1q, x600 (right).
Immunofluorescence for IgM and C3: focal and segmental
positivity.
Immunofluorescence for IgA, C1q, kappa, and lambda: Negative.
Immunofluorescence for albumin: positivity similar to IgG (Figure 7).
What is your diagnosis?
See
diagnosis and discussion
[Top]
|