|
|
CASE
150 (August 2018)
Clinical information
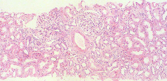
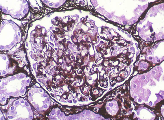
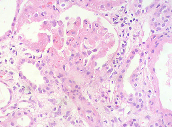
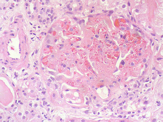
A 25-year-old woman with no relevant history is evaluated for presenting 3 months of evolution of constitutional symptoms, disseminated skin lesions with vasculitis-like appearance, polyarthritis affecting small and medium joints, anemia, acute phase reactants elevation, lymphopenia, hypocomplementemia C3 and C4, uroanalysis with active sediment and subnephrotic proteinuria: 1.8 g/24h; Cr; 1.1 mg/dL, BUN: 18 mg/dL. ANAs and anti-DNA positive at high titers, anti-RNP positive, VDRL falsely positive. Anticardiolipin and lupus anticoagulant: negative, other markers for APS: Negative.
See the images of the renal biopsy.

Figure 1. H&E, X100.

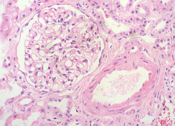
Figure 2. H&E, X400.

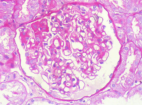
Figure 3. PAS, X400.

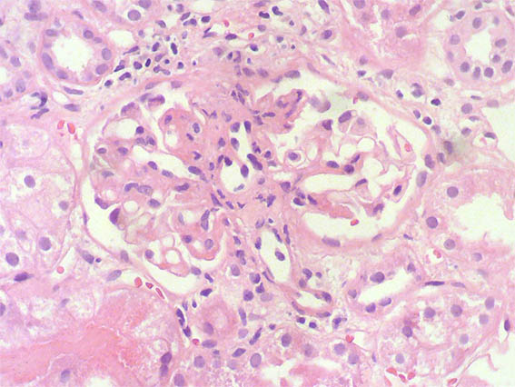
igure 4. H&E, X400.

Figure 5. Methenamine-silver, X400.

Figure 6. H&E, X400.

Figure 7. H&E, X400.

Figure 8. Methenamine-silver, X400.

Figure 9. Direct immunofluorescence fof IgA, X400.

Figure 10. Direct immunofluorescence fof IgG, X400.

Figure 11. Direct immunofluorescence fof IgM, X400.

Figure 12. Direct immunofluorescence fof C3, X400.

Figure 13. Direct immunofluorescence fof C1q, X400.
What is your diagnosis?
What lesion is evidenced in figures 6, 7 and 8 and what is its etiology?
See
diagnosis and discussion
[Top]
|
|