CASE
149 (July 2018)
Clinical information
A 9-year-old girl was brought by his parents to the hospital for edemas of a month of evolution. Nephrotic syndrome and systemic hypertension were documented.
Serum creatinine: 0.7 mg/dL, BUN; 17 mg/dL. Serum albumin: 2.4 g/dL, proteinuria: 93 mg/m2/h, in urinalysis there are 10-12 erythrocytes per high power field, leukocytes 1-2/hpf. Total cholesterol: 220 mg/dL, triglycerides: 185 mg/dL. Autoimmunity studies: negative, normal serum complement. Studies for viruses: Negative. There is no evidence of recent infections.
See the images of the renal biopsy.

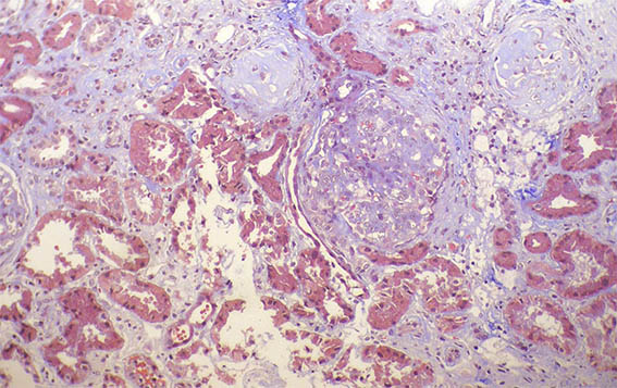
Figure 1. Masson's trichrome, X100.

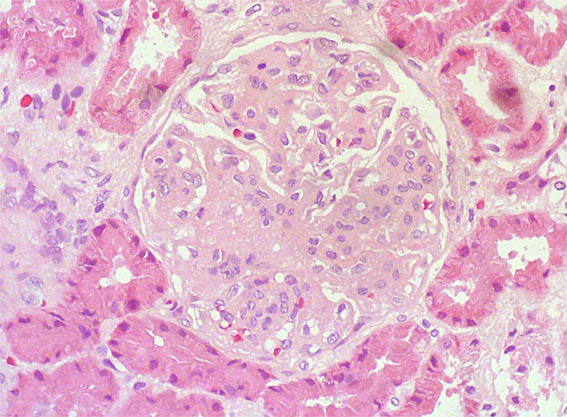
Figure 2. H&E, X400.

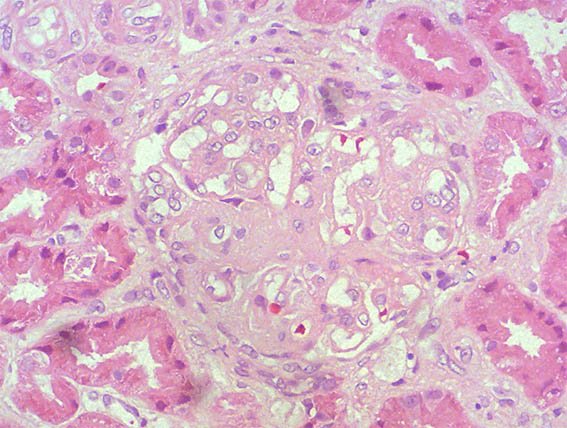
Figure 3. H&E, X400.

Figure 4. PAS, X400.

Figure 5. Masson's trichrome, X400.

Figure 6. Masson's trichrome, X400.

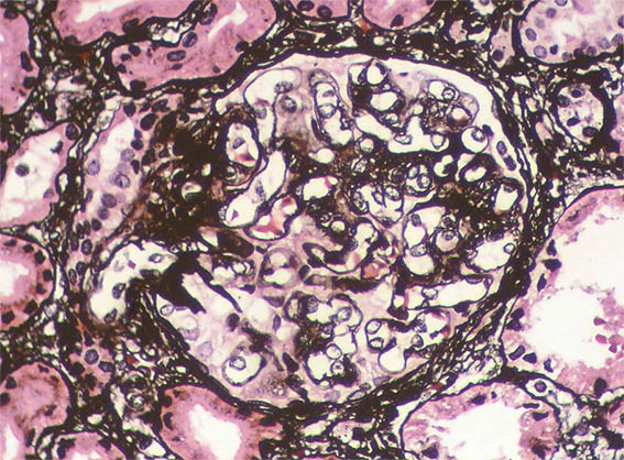
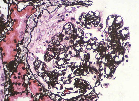
Figure 7. Methenamine-silver, X400.

Figure 8. Methenamine-silver, X400.

Figure 9. Methenamine-silver, X400.

Figure 10. Direct immunofluorescence fof IgA, X400.

Figure 11. Direct immunofluorescence fof C3, X400.
Immunofluorescence for IgG, IgM, and C1q: Negative.
What is your diagnosis?
See
diagnosis and discussion
[Top]
|