|
|
CASE
148 (June 2018)
Clinical information
The patient is a 36-year-old woman with progressive edema, 3 weeks evolution. There is no relevant personal or family history. Studies of autoimmunity and infectious diseases: negative. She has been taking "naturopathic" medicines for weight loss for several months.
Serum creatinine: 0.8 mg/dL, BUN; 14 mg/dL. Serum albumin: 2.3 g/dL, total cholesterol: 280 mg/dL, triglycerides: 230 mg/dL. Proteinuria: 4.1 g/24h, in urinalysis there are 3-4 erythrocytes/hpf, leukocytes 1-2/hpf, no cylinders.
See the images.

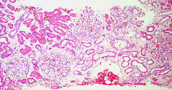
Figure 1. H&E, X100.

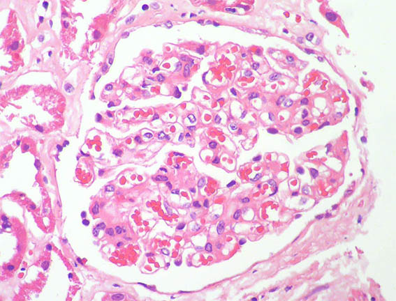
Figure 2. H&E, X400.

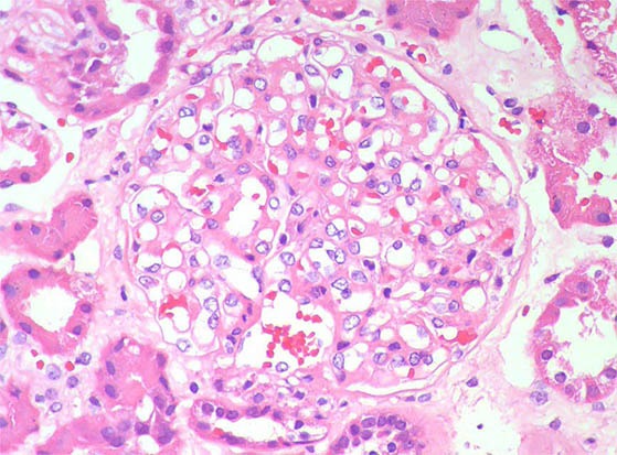
Figure 3. H&E, X400.

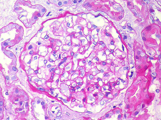
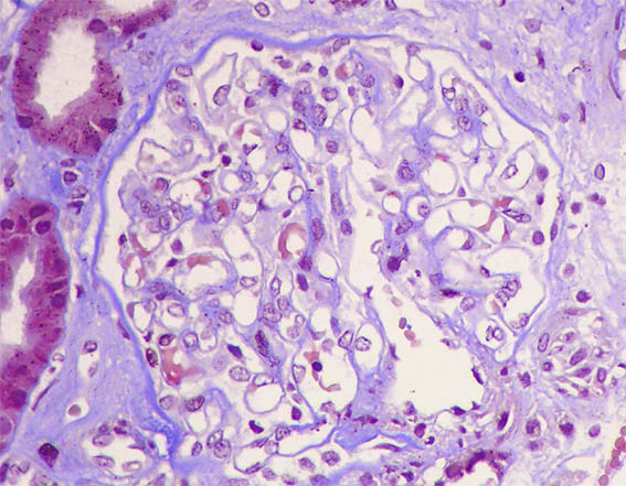
Figure 4. PAS, X400.

Figure 5. Methenamine-silver, X400.

Figure 6. Masson's trichrome, X400.

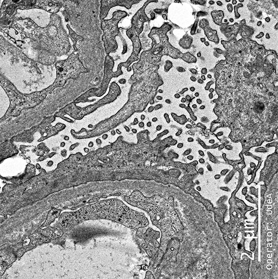
Figure 7. EM, original magnification, X2,500.

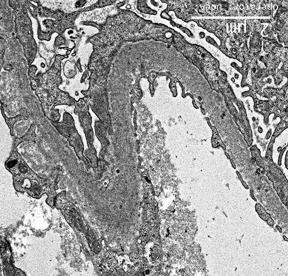
Figure 8. EM, original magnification, X2,500.
Immunofluorescence for IgA, IgG, IgM, C3, C1q, kappa and lambda: Negative.
What is your diagnosis?
See
diagnosis and discussion
[Top]
|
|