| CASE
146 (April 2018)
Clinical information
The patient is a 13-year-old girl who presents severe edema, up to anasarca. Complete nephrotic syndrome is documented, with proteinuria of 6.7 g/24h (290 mg/m2/h), dyslipidemia, serum albumin: 1.6 g/dL. Negative autoimmunity studies. Tests for viruses: Negative. C3 and C4 normal. Serum creatinine increased from 0.7 mg/dL to 1.3 mg/dL.
The patient had a diagnosis of acute lymphoid leukemia one year before and has been under treatment, with apparent good response.
See the images of the kidney biopsy.

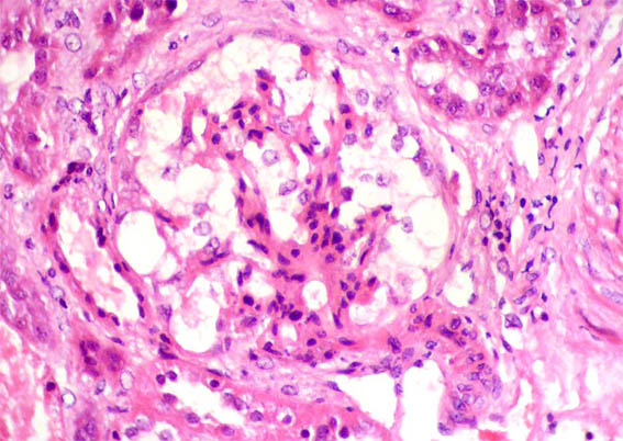
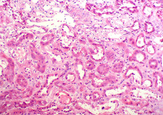
Figure 1. H&E , X400.

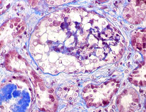
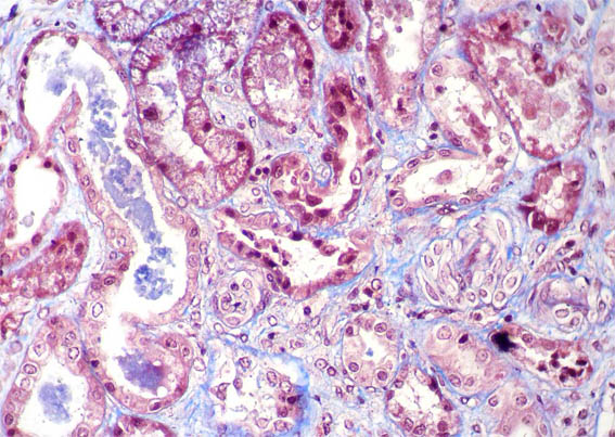
Figure 2. Masson's trichrome, X400.

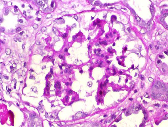
Figure 3. PAS, X400.

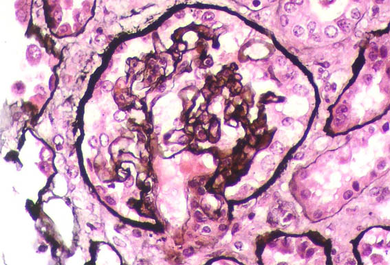
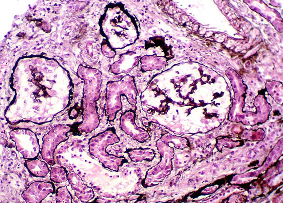
Figure 4. Methenamine-silver, X400.

Figure 5. Methenamine-silver, X200.

Figure 6. Methenamine-silver, X400.

Figure 7. H&E, X200.

Figure 8. Masson's trichrome, X400.
Immunofluorescence for IgA, IgG, IgM, C3, C1q, kappa, and lambda: Negative.
What is your diagnosis?
See
diagnosis and discussion
[Top]
|