|
|
CASE
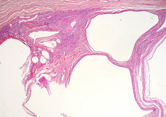
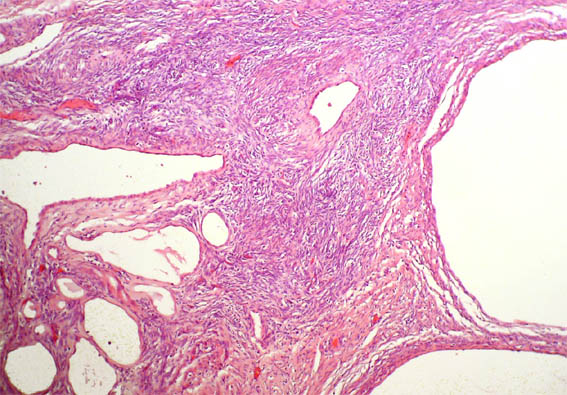
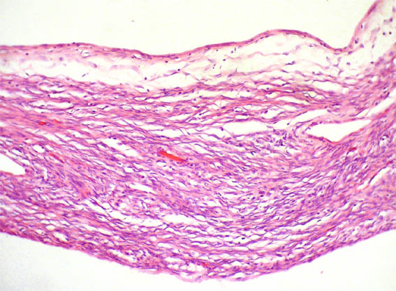
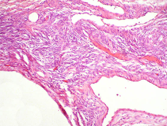
143 (January 2018)
Clinical information
A 36-year-old woman presented with left flank pain for 2 months. She denied fever, gross hematuria, or body weight loss. Ultrasonography revealed a multicystic mass with multiple septa in the left kidney. Nephrectomy was done.
See the images.

Figure 1.

Figure 2.

Figure 3. H&E, X100.

Figure 4. H&E, X200.

Figure 5. H&E, X200.

Figure 6. H&E, X200.

Figure 7. H&E, X200.

Figure 8. H&E, X200.

Figure 9. H&E, X400.
What is your diagnosis?
See
diagnosis and discussion
[Top]
|
|