| CASE
140 (October 2017)
Clinical information
The patient is a 31-year-old woman with a history of isolated microscopic hematuria (no proteinuria or altered renal function) detected 8 years earlier. Although she comes in regular follow-up by nephrology, the last nephrologist in evaluating her decides to take renal biopsy.
There is no known family history of kidney disease. No siblings or other members of the family have been studied for microhematuria. The patient does not have children.
Look at the images.

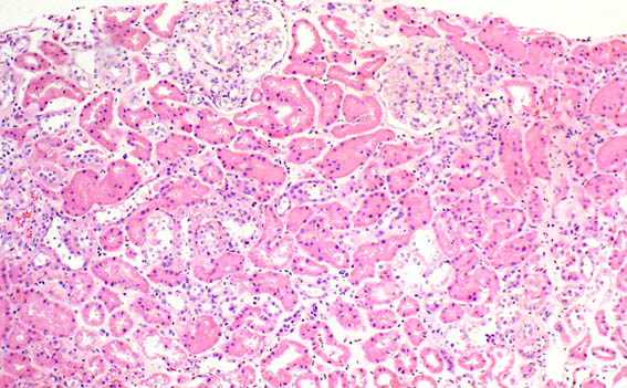
Figure 1. H&E, X100.

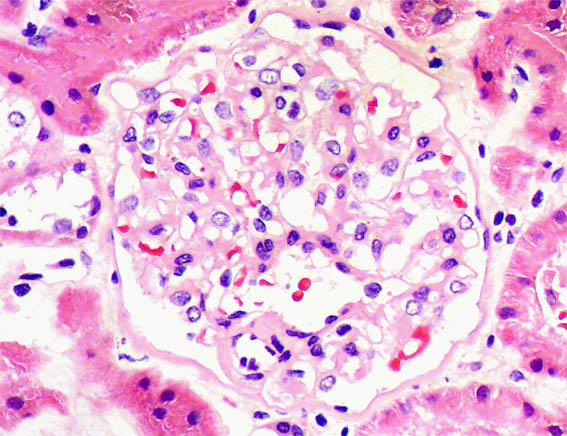
Figure 2. H&E, X400.

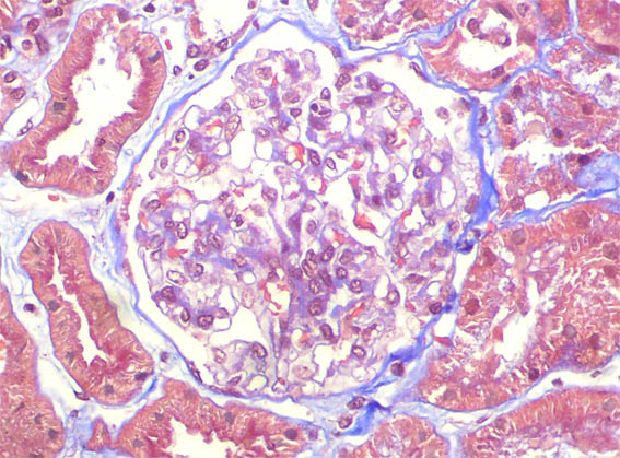
Figure 3. Masson's trichrome stain, X400.

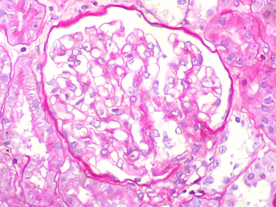
Figure 4. PAS, X400.

Figure 5. Methenamina-silver stain, X400.

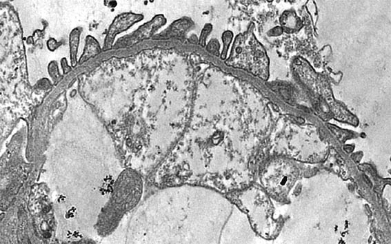
Figure 6. EM, original magnification X4,000.

Figure 7. EM, original magnification X4,000.

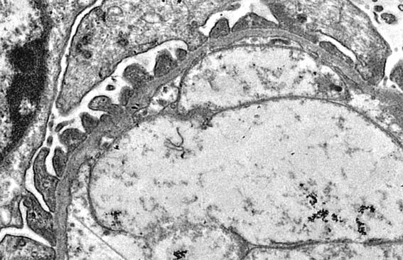
Figure 8. EM, original magnification X6,000; measured thickness of the GBM: between 180 and 220 nm.
Direct immunofluorescence for IgA, IgG, IgM, C3, C1q, kappa and lambda: Negative.
What is your diagnosis?
See
diagnosis and discussion
[Top]
|