|
|
CASE
139 (September 2017)
Clinical information
The patient: A 32-year-old man, with a recent diagnosis of HIV infection, without AIDS and without antiretroviral treatment. He consulted the doctor for lower limb edema and general malaise. He did not report alterations in the previous weeks. There was high systemic blood pressure: 150/95. No alterations in skin. Physical examination without other alterations. Laboratory tests: serum creatinine: 1.6 mg/dL, BUN: 22 mg/dL. Total serum proteins and albumin: normal. Uroanalysis: Proteinuria 200 mg/dL, microhematuria, without casts. ANA, anti-DNA and ANCA: negative. C3: 82 (90-180), C4: 12 (10-40). Full blood count: normal. Renal ultrasound: within normal limits.
A kidney biopsy was done. Look at the pictures.

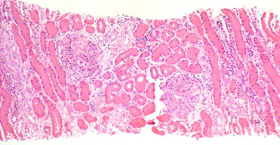
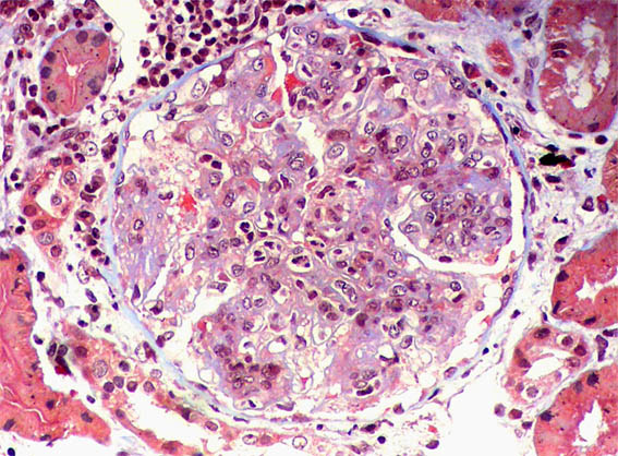
Figure 1. H&E, X100.

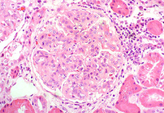
Figure 2. H&E, X400.

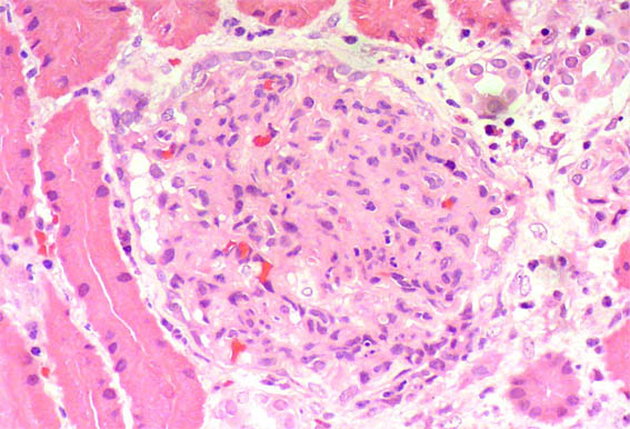
Figure 3. H&E, X400.

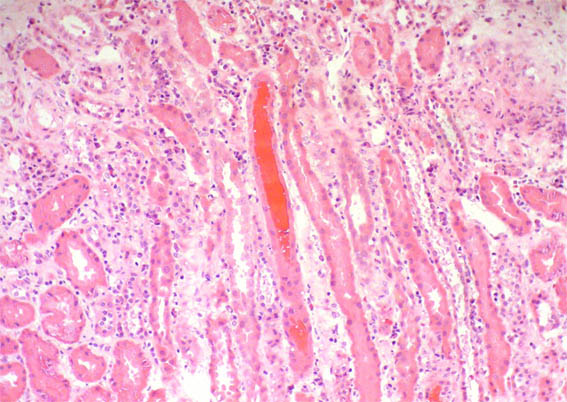
Figure 4. H&E, X400.

Figure 5. H&E, X200.

Figure 6. Masson's trichrome stain, X400.

Figure 7. Methenamina-silver stain, X400.

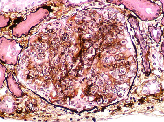
Figure 8. Direct immunofluorescence for IgG, X400.

Figure 9. Direct immunofluorescence for C3, X400.
Direct immunofluorescence for IgA, IgM, and C1q: Negative; kappa and lambda staining with IgG-like staining.
What is your diagnosis?
See
diagnosis and discussion
[Top]
|
|