|
|
CASE
135 (May 2017)
Clinical information
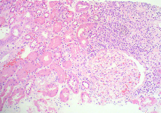
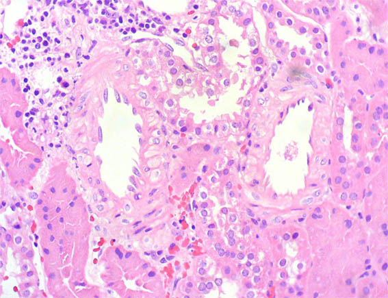
The patient is a 42-year-old male, kidney transplanted from cadaveric donor 2 years earlier, due to terminal renal failure of unknown cause. Adequate graft function in the first post-transplantation year. In the last laboratory test creatinine increased to 1.9 mg/dL (previous: 1.2 mg/dL). Blood count: normal. Uroanalysis: Proteinuria: 75 mg/dL, erythrocytes: 5-7/hpf, leukocytes: 8-10/hpf, without casts. Renal ultrasound: graft increased in size, with decreased corticomedullary differentiation; echo-Doppler: normal resistive indices.
An allograft kidney biopsy was done. See the images.

Figure 1. H&E, X100.

Figure 2. H&E, X200.

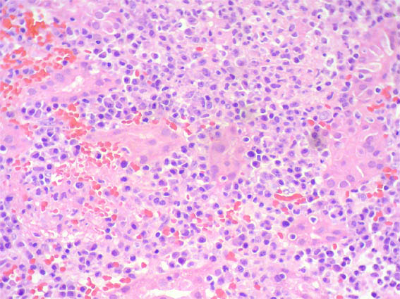
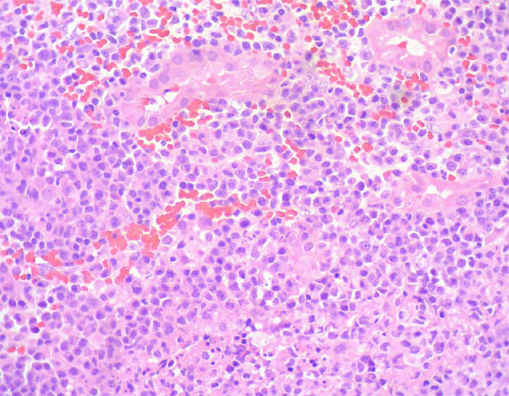
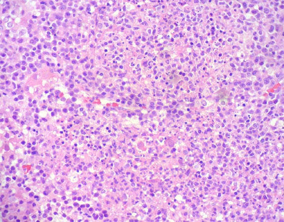
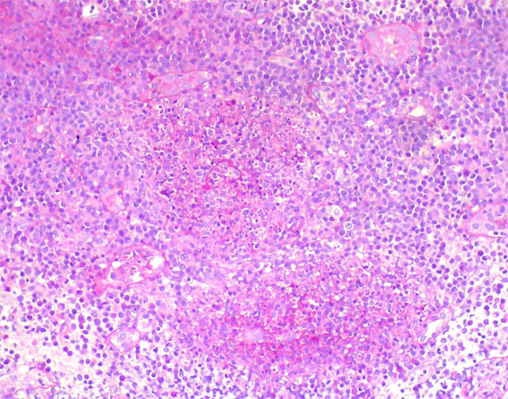
Figure 3. H&E, X400.

Figure 4. H&E, X400.

Figure 5. H&E, X400.

Figure 6. H&E, X400.

Figure 7. H&E, X400.

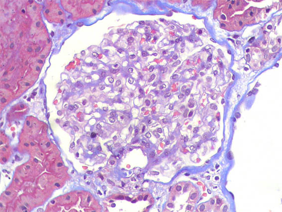
Figure 8. PAS, X200.

Figure 9. Methenamine-silver staining, X400.

Figure 10. Masson's trichrome staining, X400.

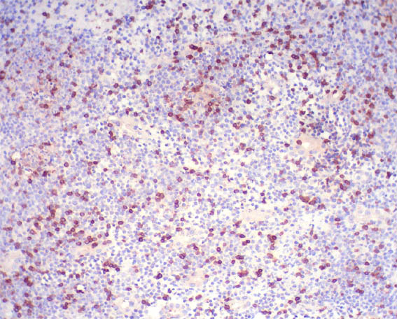
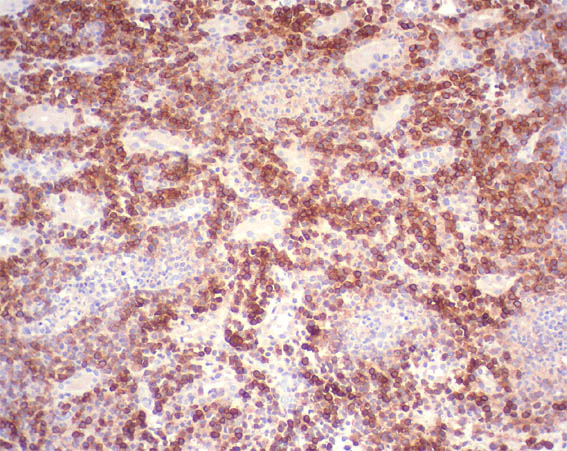
Figure 11. Immunohistochemistry for CD3, X200.

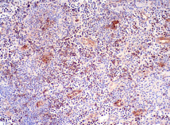
Figure 12. Immunohistochemistry for CD20, X200.

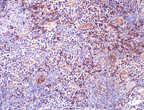
Figure 13. Immunohistochemistry for CD79a, X200.

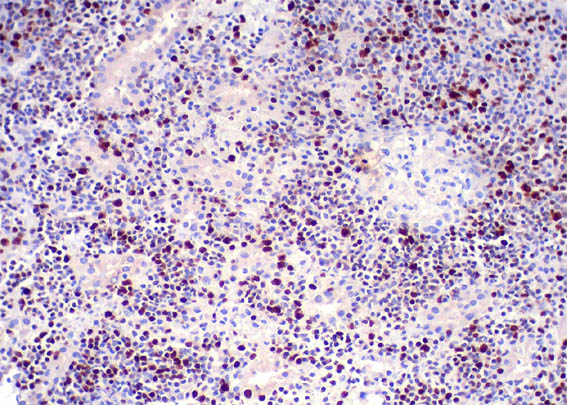
Figure 14. Immunohistochemistry for CD138, X200.

Figure 15. Immunohistochemistry for kappa light chain, X200.

Figure 16. Immunohistochemistry for lambda light chain, X200.

Figure 17. Immunohistochemistry for Ki67, X200.
Direct immunofluorescence for IgA, IGg, IgM, C3, C1q, kappa, lambda: Negative in glomeruli. Immunohistochemistry for SV40, adenovirus, CMV and C4d: Negative.
What is your diagnosis?
See
diagnosis and discussion
[Top]
|
|