|
|
CASE
134 (April 2017)
Clinical information
The patient is a 18-year-old woman. History of ESKD due to Alport syndrome. She was living related donor kidney transplanted. Immunosuppression: tacrolimus, prednisone, mycophenolate. Nine months after transplantation there is edema of lower limbs, fever, oliguria, asthenia and adynamia. On examination: BP 150/90, HR: 100. Facial and lower limb edema. There are no other abnormalities on physical examination.
Laboratory tests: serum creatinine 3.5 mg/dL; BUN 52 mg/dL; PCR 8.1, ESR 48. Leukocytes 10,500, neutrophils: 93%, lymphocytes: 3%, platelets 194,000. Hb 10.4 Hto 31. Uroanalysis: density: 1.010, pH 6, proteins 500 mg/dL, nitrites: negative, erythrocytes 21-30/hpf, leukocytes 10-20/hpf. Uroculture: negative. Renal Doppler echo: increased cortical echogenicity, resistance index: 0.65, no thrombosis or stenosis. ANAS, anti-DNA and ANCAs: Negative. C3 and C4 serum levels: normal.
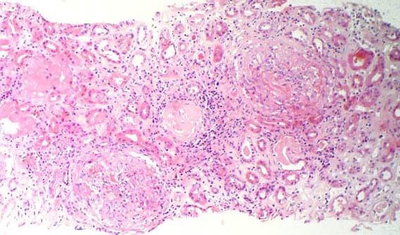
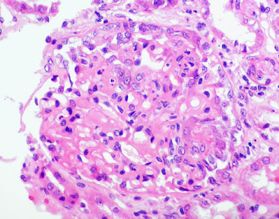
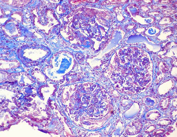
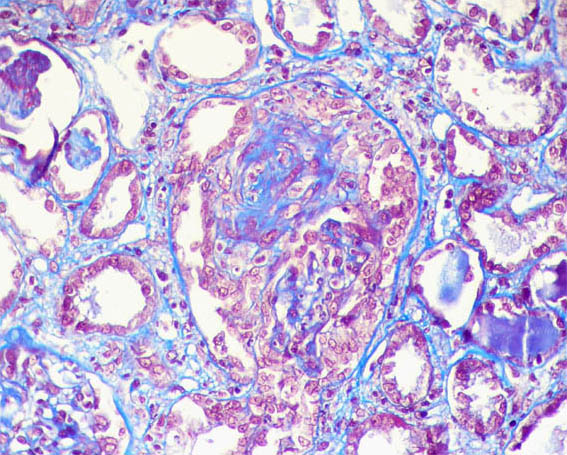
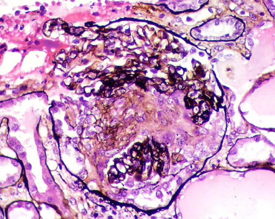
An allograft kidney biopsy was done. See the images.

Figure 1. H&E, X100.

Figure 2. H&E, X400.

Figure 3. Masson's trichrome staining, X400.

Figure 4.Masson's trichrome staining, X400.

Figure 5. Methenamine-silver staining, X400.

Figure 6. Methenamine-silver staining, X400.

Figure 7. Direct immunofluorescence for IgG, X400.

Figure 8. Another image of direct immunofluorescence for IgG, X400.

Figure 9. Direct immunofluorescence for C3, X400.

Figure 10. Direct immunofluorescence for fibrinogen, X400.
Direct immunofluorescence for IgA, IgM, and C1q: Negative.
What is your diagnosis?
See
diagnosis and discussion
[Top]
|
|