| CASE
127 (September 2016)
Clinical information
The patient is a 42-year-old woman, kidney transplanted from cadaveric donor because lupus nephritis. She was two years on dialysis.
The graft presented good function the first three weeks. Creatinine increased in the fourth week: 1.8 mg/dL (before 1.3 mg/dL). Proteinuria: 200 mg/dL. Microhematuria. No extrarenal clinical alterations.
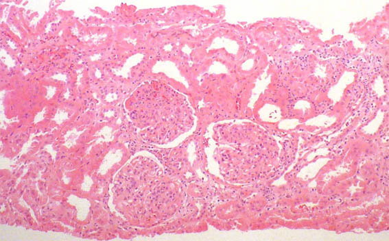
A renal biopsy was done, see the images.

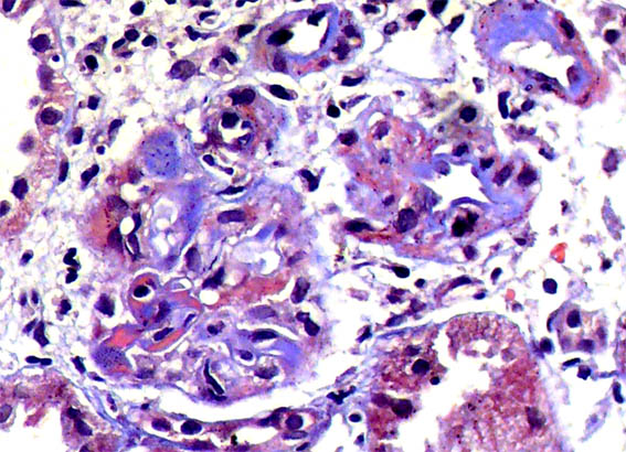
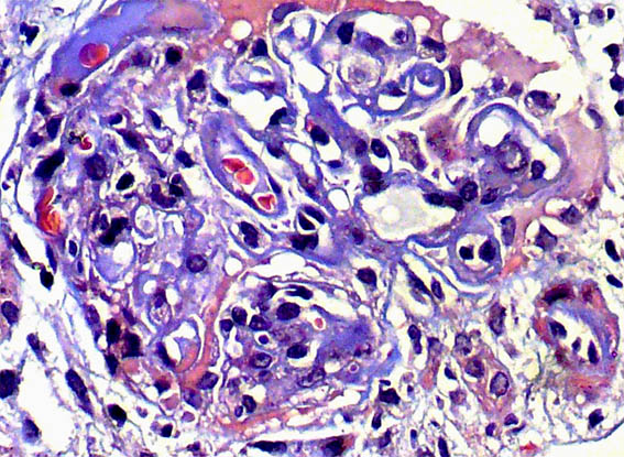
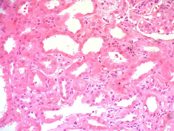
Figure 1. H&E, X100.

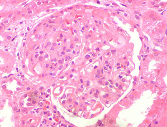
Figure 2. H&E, X400.

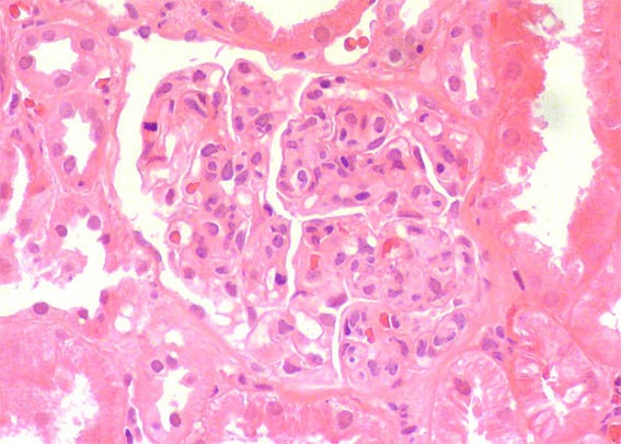
Figure 3. H&E, X400.

Figure 4. H&E, X400.

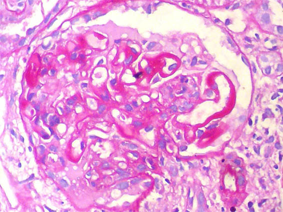
Figure 5. PAS, X400.

Figure 6. Masson's trichrome stain, X400.

Figure 7. Masson's trichrome stain, X400.

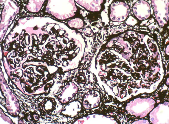
Figure 8. Methenamine-silver stain, X200.

Figure 9. Methenamine-silver stain, X400.

Figure 10. H&E, X200.

Figure 11. Immunohistochemistry for C4d, X400.

Figure 12. Direct immunofluorescence for IgA, X400.

Figure 13. Direct immunofluorescence for IgG, X400.

Figure 14. Direct immunofluorescence for C3, X400.

Figure 15. Direct immunofluorescence for C1q, X400.
Direct immunofluorescence for IgM: Negative.
What is your diagnosis?
See
diagnosis and discussion
[Top]
|