|
|
CASE
125 (July 2016)
Prepared by:
Dr. José René Somocurcio Peralta
Departamento de Anatomía Patológica
Hospital Nacional Edgardo Rebagliati Martins
EsSalud
Lima - Perú.
Clinical information
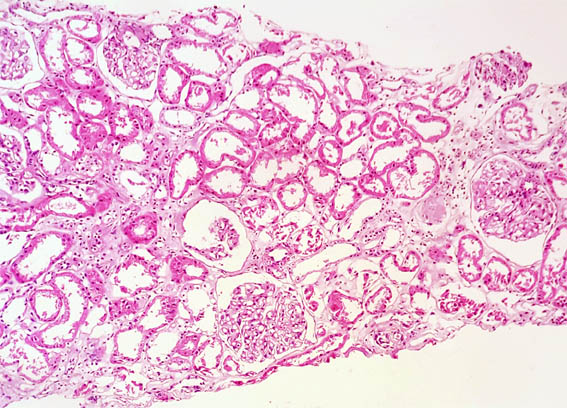
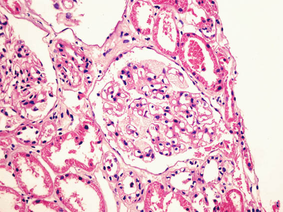
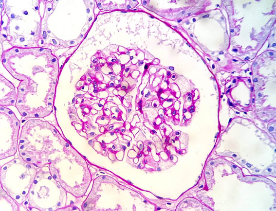
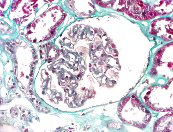
The patient is a 66-year-old woman with no medical history. For a month now presents with nephrotic syndrome and moderate hypertension. Normal blood count, creatinine 1.2 mg/dL, c-ANCA weak positive, proteinuria 7 g/24 h, urinary sediment: red cells 10-12/HPF. Autoimmune, infectious and neoplastic causes were ruled out.
See the images of the renal biopsy.

Figure 1. H&E, X100.

Figure 2. H&E, X200.

Figure 3. PAS, X400.

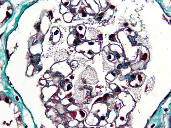
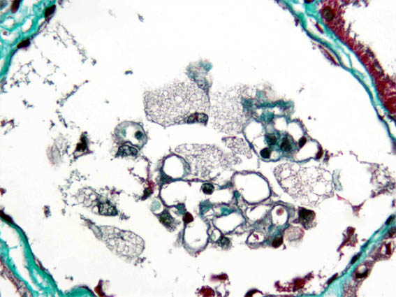
Figure 4. Masson's trichrome stain, X400.

Figure 5. PAS, X1,000.

Figure 6. Masson's trichrome stain, X1,000.

Figure 7. Masson's trichrome stain, X1,000.
Direct immunofluorescence for IgA, IgG, IgM, C3, C1q, kappa, and lambda: Negative.
What is your diagnosis?
See
diagnosis and discussion
[Top]
|
|