|
|
CASE
124 (June 2016)
Clinical information
The patient is a 11-year-old boy with a history of steroid-resistant nephrotic syndrome since he was 7 years old. Renal biopsy at 8 years was diagnosed as focal segmental glomerulosclerosis (in another center, we do not have histological images). He continues with nephrotic syndrome since and now the serum creatinine has increased: 1.4 mg/dL. A new renal biopsy is undertaken to see the severity of the histological changes and decide whether to try another immunosuppressant treatment.
See the images of the second renal biopsy.

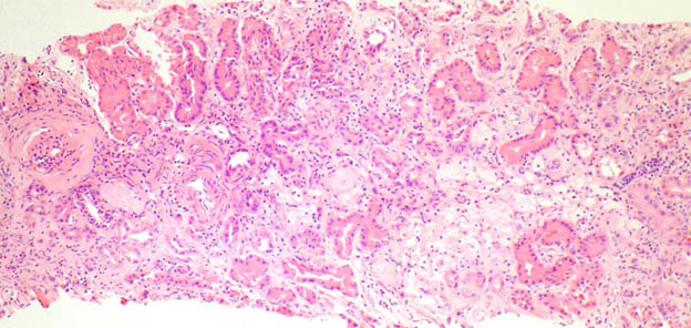
Figure 1. H&E, X100.

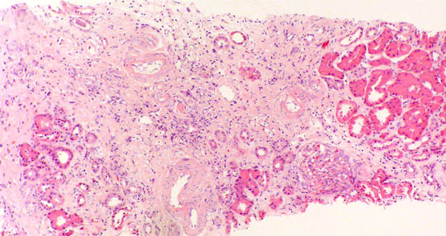
Figure 2. H&E, X200.

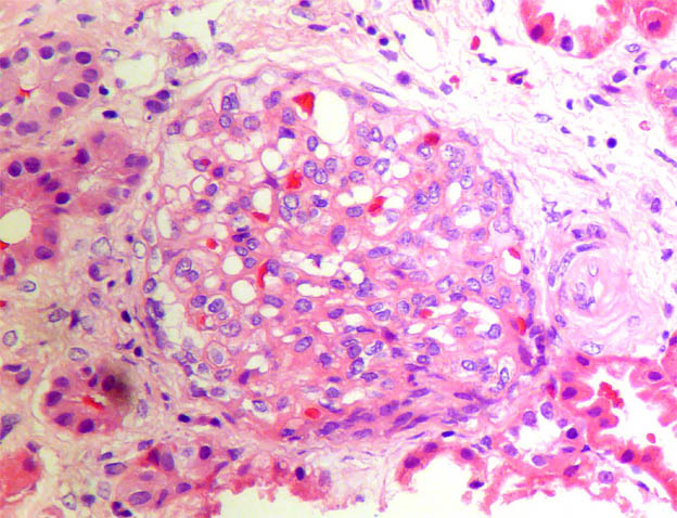
Figure 3. H&E, X400.

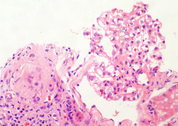
Figure 4. H&E, X400.

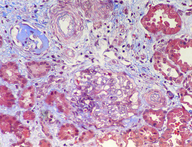
Figure 5. Masson's trichrome stain, X400.

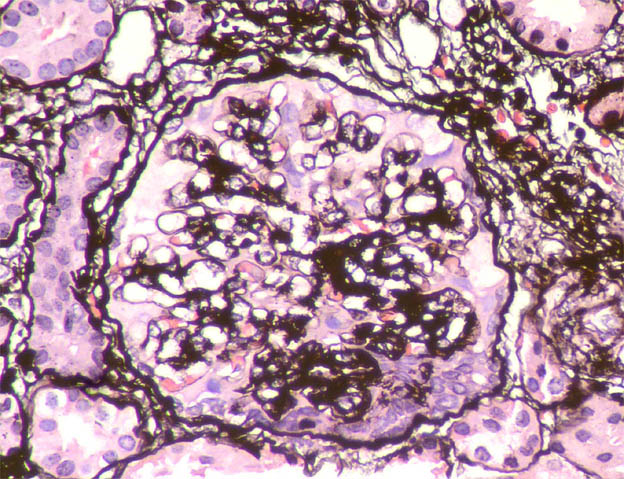
Figure 6. Methenamine-silver, X400.

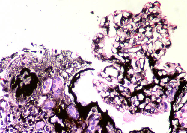
Figure 7. Methenamine-silver, X400.

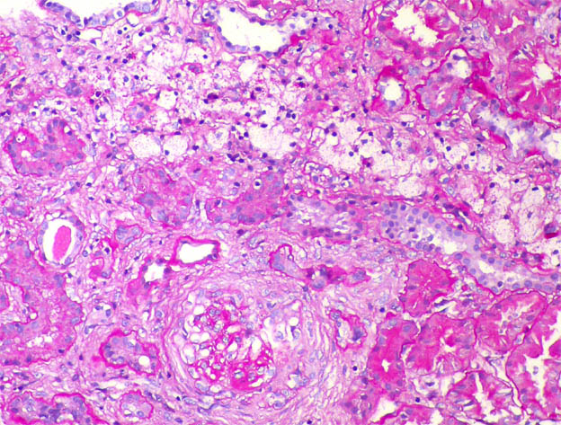
Figure 8. PAS, X400.

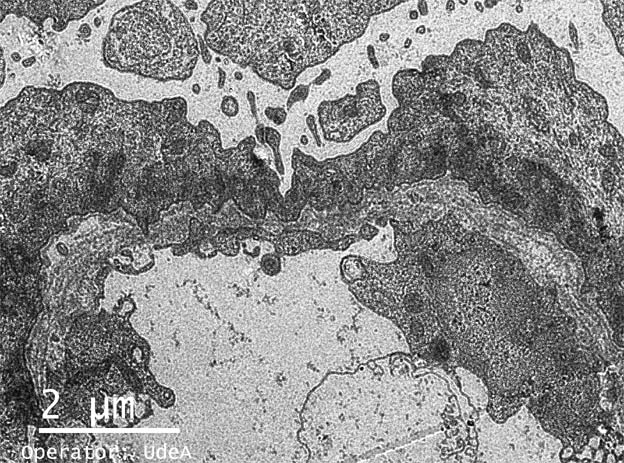
Figure 9. Electron microscopy, X4,000.

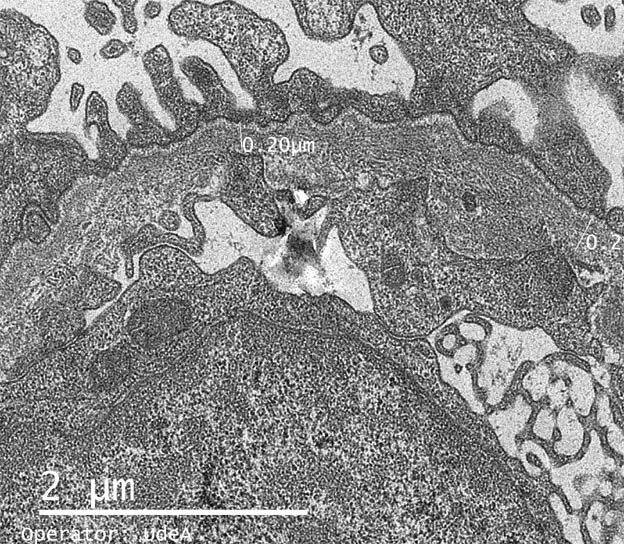
Figure 10. Electron microscopy, X6,000.
Direct immunofluorescence for IgA, IgG, IgM, C3, C1q, kappa, and lambda: Negative.
What is your diagnosis?
See
diagnosis and discussion
[Top]
|
|