| CASE
123 (May 2016)
Clinical information
The patient is a 3-year-old girl with full nephrotic syndrome, steroid-resistant, symptoms of 3 months of evolution. Eight weeks of treatment with steroids, without response. Creatinine 0.9 mg/dL. Studies of autoimmunity and infections: Negative or normal. No pathological personal history. No known family history of kidney disease.
See the images of the renal biopsy.

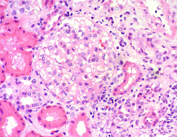
Figure 1. H&E, X100.

Figure 2. H&E, X400.

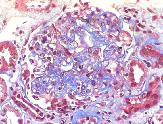
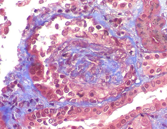
Figure 3. Masson's trichrome stain, X400.

Figure 4.Masson's trichrome stain, X400.

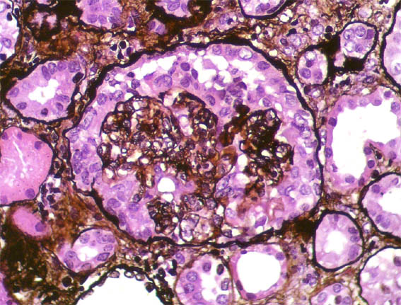
Figure 5. Methenamine-silver, X400.

Figure 6. Methenamine-silver, X400.
Direct immunofluorescence for IgA, IgG, IgM, C3, and C1q: Negative.
What is your diagnosis?
See
diagnosis and discussion
[Top]
|