|
|
CASE
120 (February 2016)
We celebrated 10 years of continuous publication, a case each month, 120 cases. Thank you for visiting us and allow us to continue.
Clinical information
The patient is a 4-year-old girl who presented nephrotic syndrome in the first year of life, with biopsy in which focal segmental glomerulosclerosis was diagnosed. There was no response to multiple treatments. Molecular studies were unable to detect a specific genetic alteration. He developed ESRD at 3 years of age. She was in hemodialysis few months and was transplanted from a dead donor. Nephrectomy of a native kidney was done. Before the transplant, on dialysis, she had low urine output and non-nephrotic proteinuria without hypoalbuminemia or dyslipidemia. After transplantation presented progressive increase in proteinuria. Four post-transplant weeks there was complete nephrotic syndrome with proteinuria >100 mg/m2/h, dyslipidemia and hypoalbuminemia. Serum creatinine 0.5 mg/dL.
A renal biopsy was done, see the images.

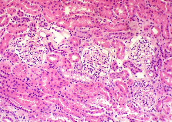
Figure 1. H&E, X100.

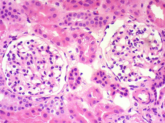
Figure 2. H&E, X200.

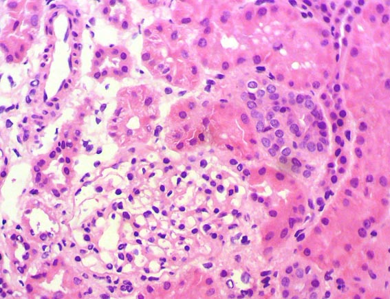
Figure 3. H&E, X400.

Figure 4. H&E, X400.

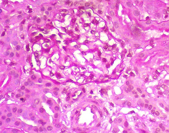
Figure 5. PAS, X400.

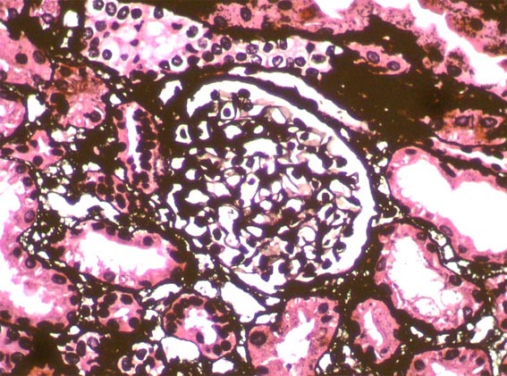
Figure 6. Methenamine-silver, H&E, X400.

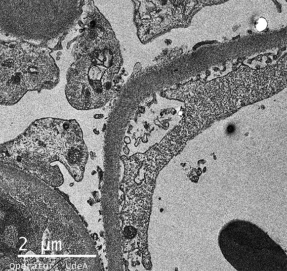
Figure 7. Electron microscopy, X2,500.

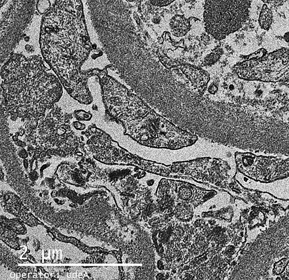
Figure 8. Electron microscopy, X4,000.

Figure 9. Electron microscopy, X4,000.
Direct immunofluorescence for IgA, IgG, IgM, C3 and C1q: Negative. Immunohistochemistry for C4d: Negative.
What is your diagnosis?
See
diagnosis and discussion
[Top]
|
|