| CASE
118 (December 2015)
Clinical information
A 48-year-old man presented with a two-month history of progressive edema until anasarca, turbid urine and headache. His history is relevant for heavy smoking for decades and frequent consumption of alcohol. Physical examination: BP: 160/100. Generalized edema, no skin lesions. No other alterations.
Paraclinical: Hb 10, Ht: 30.5, leukocytes and platelets: normal. Hepatitis B and C and HIV: negative, VDRL: not reactive. Normal protein electrophoresis. Serum immunoelectrophoresis: no monoclonal peak. Serum creatinine 1.9 mg/dL, BUN 48 mg/dL. Proteinuria in 24 hours: 9.2 grams. Serum albumin 1.9 g/dL. ANA and anti-DNA: negative; anti-Ro, anti-La, anti-Sm: normal values. C3: 25 mg/dL, C4: 6.5 mg/dL..
A renal biopsy was done, see the images.

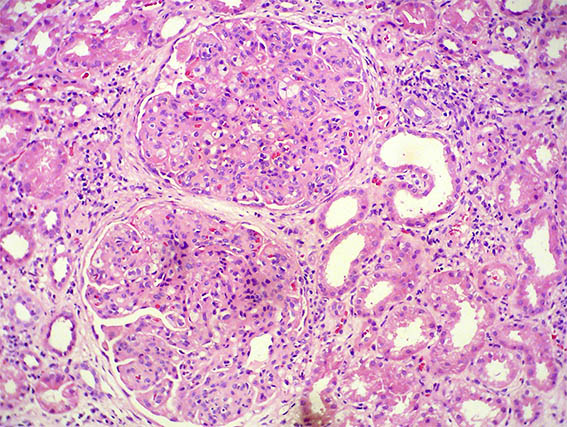
Figure 1. H&E, X100.

Figure 2. H&E, X400.

Figure 3. H&E, X200.

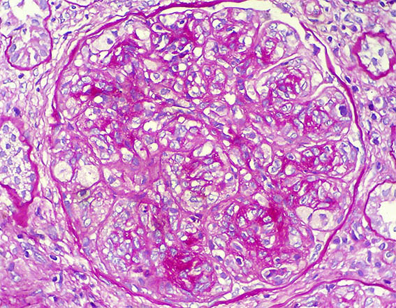
Figure 4. PAS, X400.

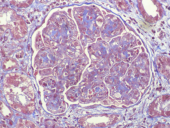
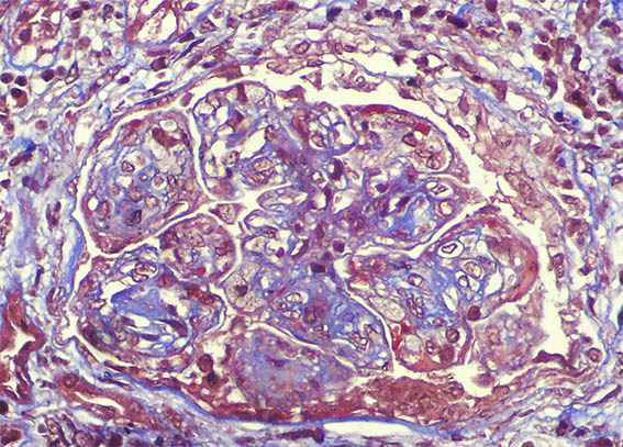
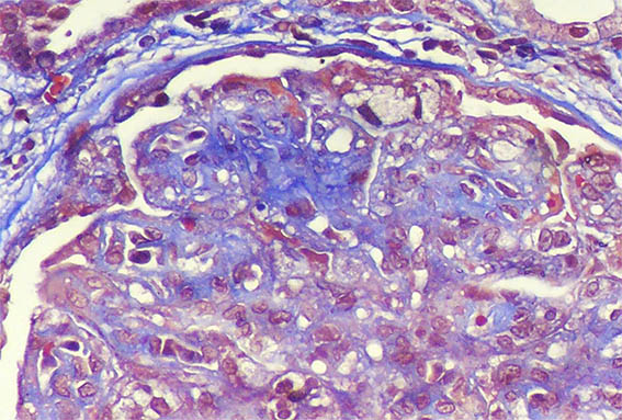
Figure 5. Masson's trichrome stain, X400.

Figure 6. Masson's trichrome stain, X400.

Figure 7. Masson's trichrome stain, X400.

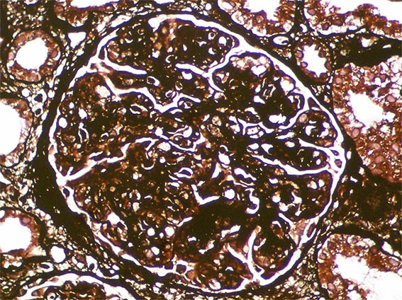
Figure 8. Methenamine-silver stain, X400.

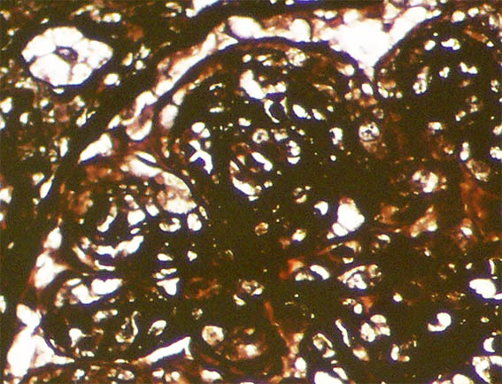
Figure 9. Methenamine-silver stain, X1,000.

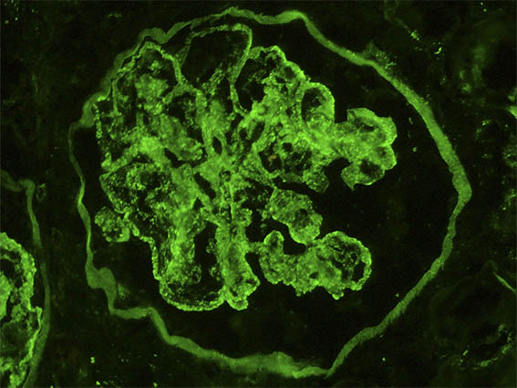
Figure 10. Direct immunofluorescence for IgG, X400.

Figure 11. Direct immunofluorescence for IgM, X400.

Figure 12. Direct immunofluorescence for C3, X400.

Figure 13. Direct immunofluorescence for kappa light chains, X400.

Figure 14. Direct immunofluorescence for lambda light chains, X400.
Direct immunofluorescence for IgA and C1q: Negative.
What is your diagnosis?
See
diagnosis and discussion
[Top]
|